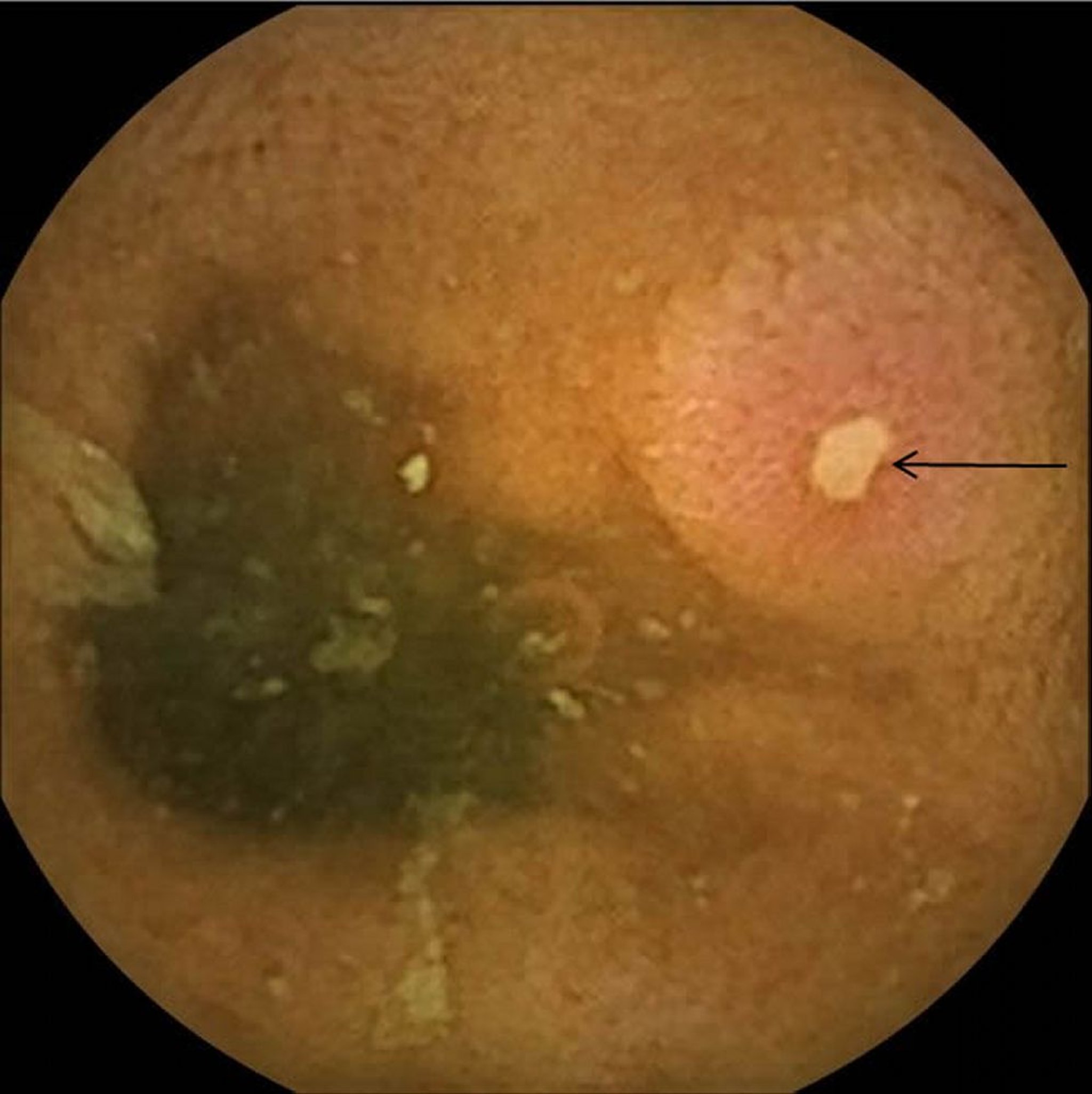
Ulcera nel morbo di Crohn
L’immagine mostra una piccola ulcera (freccia) nell’intestino, dovuta al morbo di Crohn.
Immagine per gentile concessione dei Dott. Aaron E. Walfish e Rafael A. Ching Companioni.
In questi argomenti
L’immagine mostra una piccola ulcera (freccia) nell’intestino, dovuta al morbo di Crohn.
Immagine per gentile concessione dei Dott. Aaron E. Walfish e Rafael A. Ching Companioni.