honeypot link
skip to main content
MSDManuale MsdVersione per i pazienti
ARGOMENTI DI MEDICINAVITA SANASINTOMIEMERGENZERISORSECOMMENTIINFORMAZIONI
homeARGOMENTI DI MEDICINAVITA SANA
Search icon
  1. <Immagini
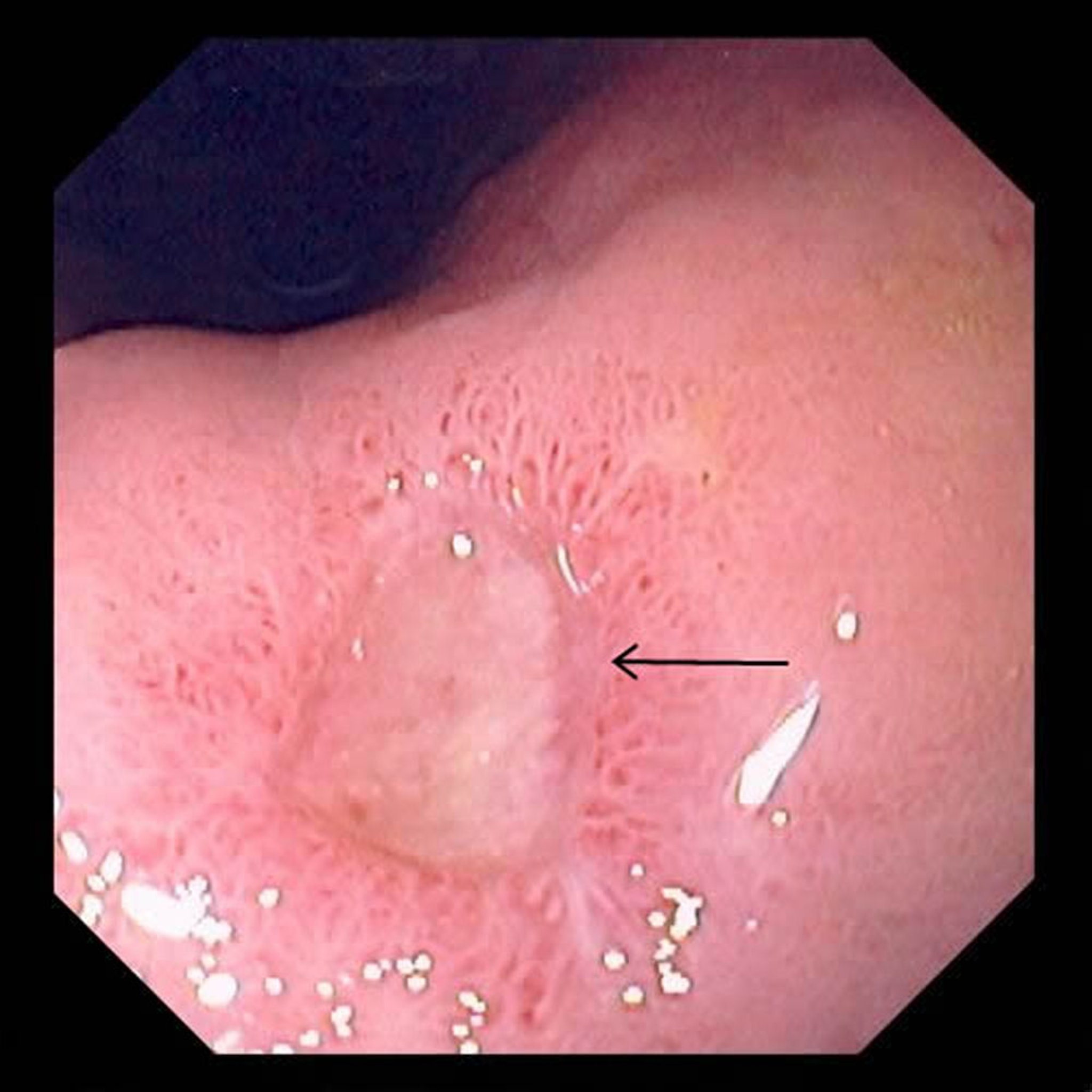
    Ulcera gastrica

    Ulcera gastrica

    L’immagine mostra una grossa ulcera (freccia) nello stomaco.

    Immagine fornita dal Dott. David M. Martin.

    In questi argomenti
    • Malattia ulcerosa peptica >
    • I fatti In Breve: Malattia ulcerosa peptica >
    MSD
    • Informazioni
    • Clausola di esclusione della responsabilità
    • Autorizzazioni
    • Privacy
    • COOKIE PREFERENCES
    • Termini di utilizzo
    • Licenze
    • Contattaci
    • Manuale veterinario (solo in lingua inglese)
    MSD

    Copyright© 2026Merck & Co., Inc., Rahway, NJ, USA e sue affiliate. Tutti i diritti riservati.