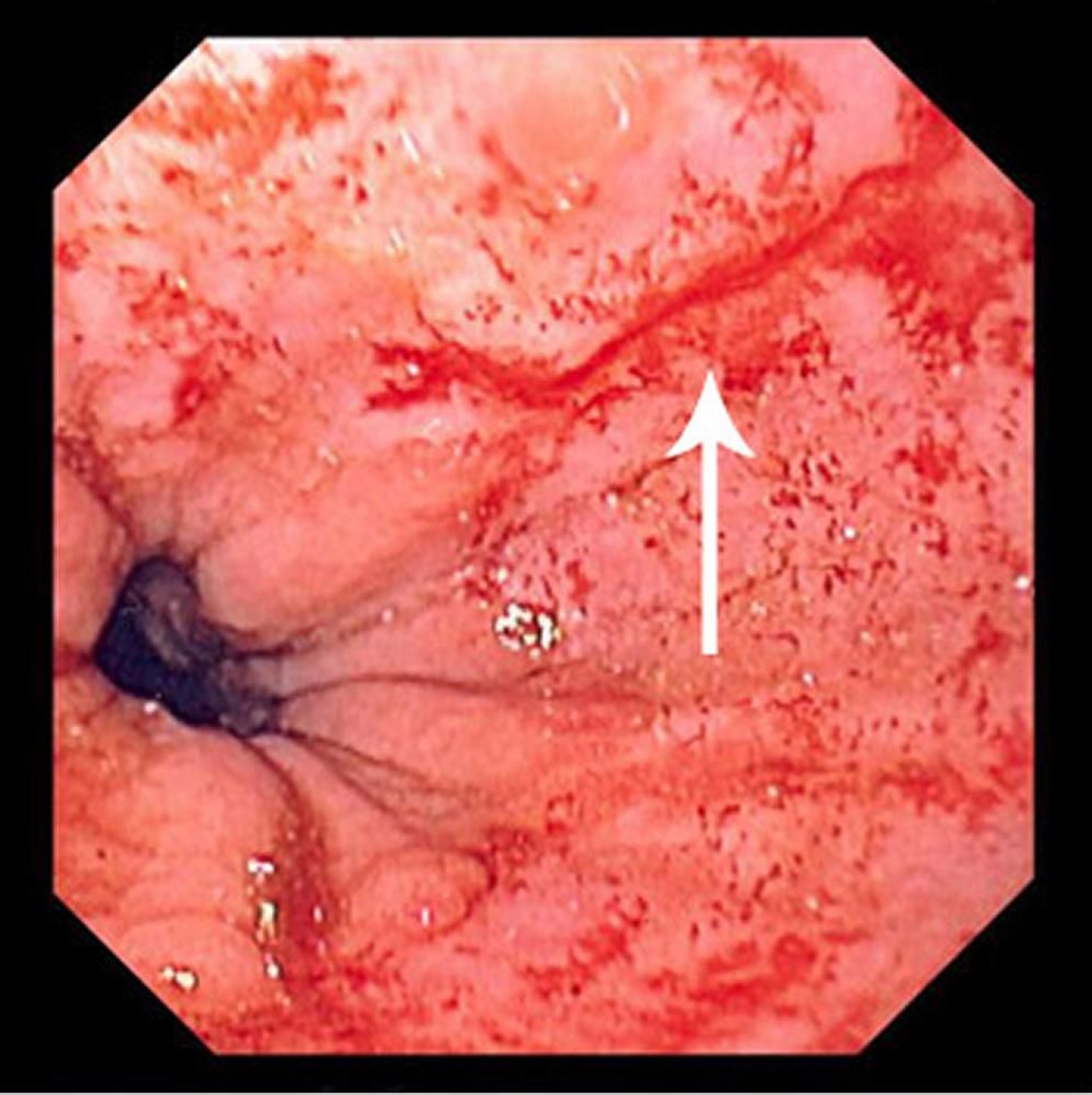
Lacerazione di Mallory-Weiss
Questa immagine mostra una sottile lacerazione di Mallory-Weiss (freccia).
Immagine fornita dal Dott. David M. Martin.
In questi argomenti
Questa immagine mostra una sottile lacerazione di Mallory-Weiss (freccia).
Immagine fornita dal Dott. David M. Martin.