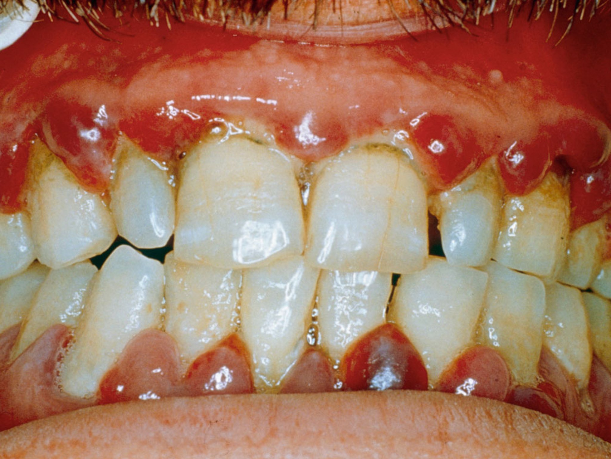
Gonfiore delle gengive nello scorbuto
Questa fotografia mostra gengive gonfie e violacee in un soggetto con scorbuto.
BIOPHOTO ASSOCIATES/SCIENCE PHOTO LIBRARY
In questi argomenti
Questa fotografia mostra gengive gonfie e violacee in un soggetto con scorbuto.
BIOPHOTO ASSOCIATES/SCIENCE PHOTO LIBRARY