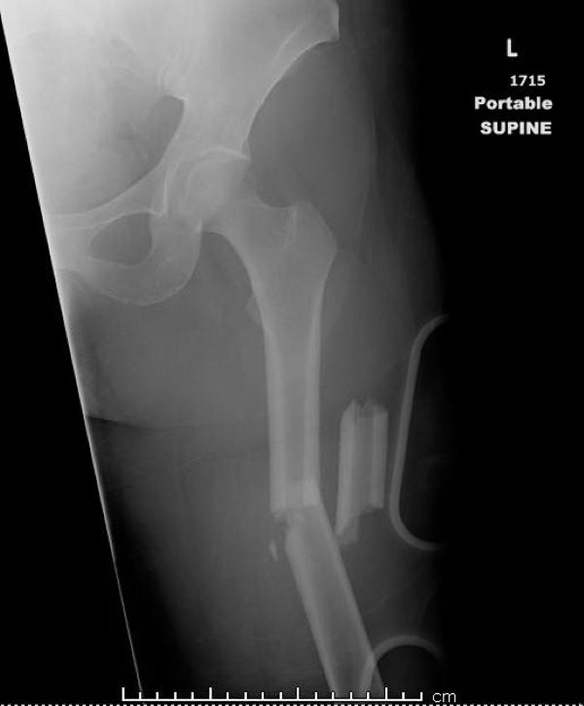
Frattura diafisiaria del femore
L’immagine mostra un femore fratturato in più di due punti (frattura comminuta).
Immagine per gentile concessione della dottoressa Danielle Campagne.
In questi argomenti
L’immagine mostra un femore fratturato in più di due punti (frattura comminuta).
Immagine per gentile concessione della dottoressa Danielle Campagne.