Ernia diaframmatica

Ernia diaframmatica

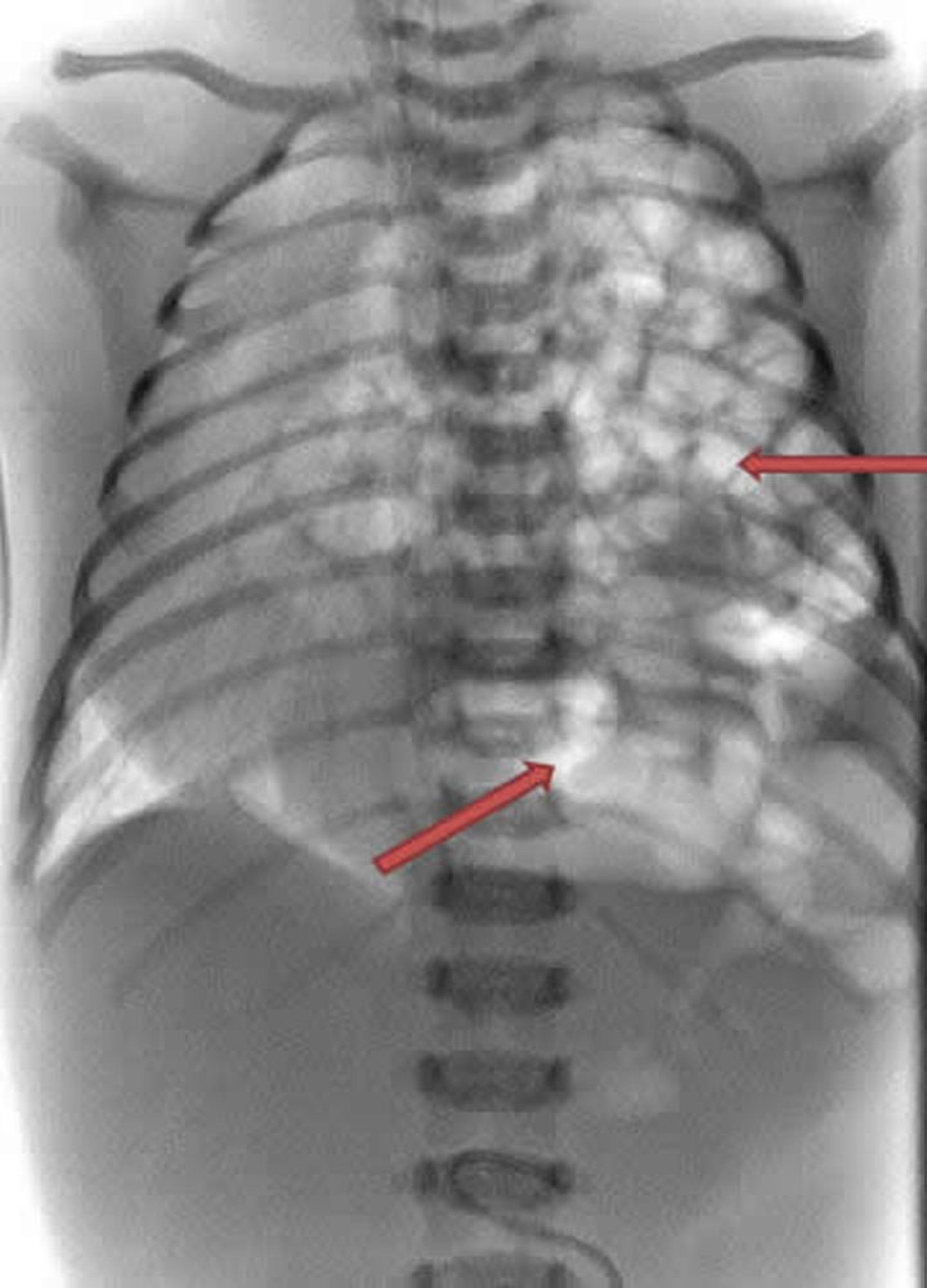
Questa radiografia di un neonato mostra la protrusione dell’intestino (spirale bianca) all’interno della parte sinistra del torace (frecce).

DU CANE MEDICAL IMAGING LTD/SCIENCE PHOTO LIBRARY

In questi argomenti