Ultrasound Doppler Warna pada Arteri Karotis
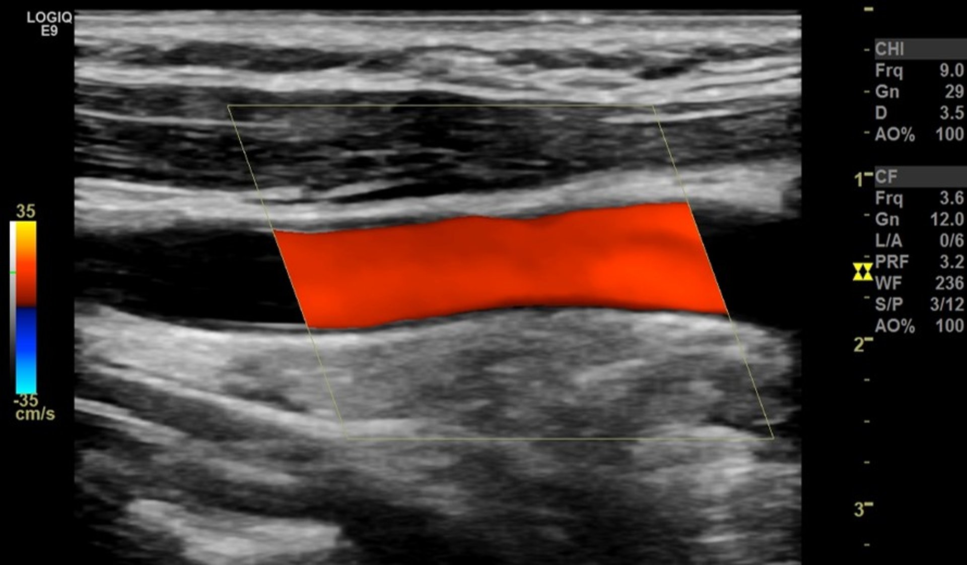
Garis merah mewakili aliran darah normal yang tidak terhalang melalui arteri besar di leher (arteri karotis komunis), dilihat dari samping.
Gambar disediakan oleh Mustafa Mafraji MD
Dalam topik ini
Garis merah mewakili aliran darah normal yang tidak terhalang melalui arteri besar di leher (arteri karotis komunis), dilihat dari samping.
Gambar disediakan oleh Mustafa Mafraji MD