Osteokondroma Lutut
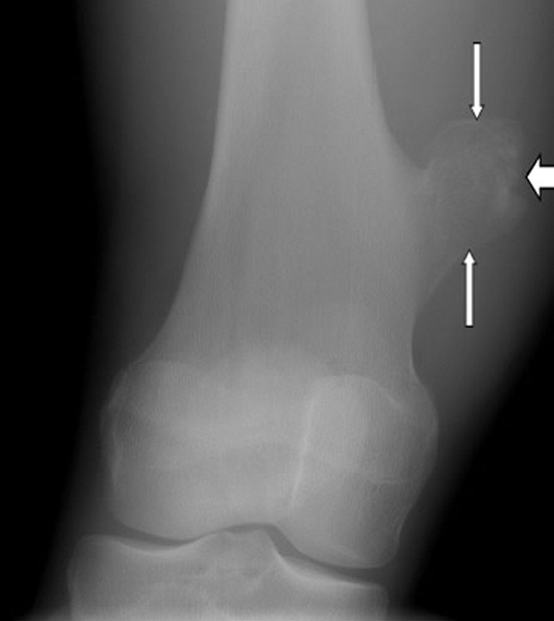
Pemeriksaan sinar-x pada lutut ini menunjukkan osteokondroma, yaitu pertumbuhan pada permukaan tulang paha (panah) di atas sendi lutut.
Gambar milik Michael J. Joyce, MD, dan Hakan Ilaslan, MD.
Dalam topik ini
Pemeriksaan sinar-x pada lutut ini menunjukkan osteokondroma, yaitu pertumbuhan pada permukaan tulang paha (panah) di atas sendi lutut.
Gambar milik Michael J. Joyce, MD, dan Hakan Ilaslan, MD.