Kanker Hati Metastatik
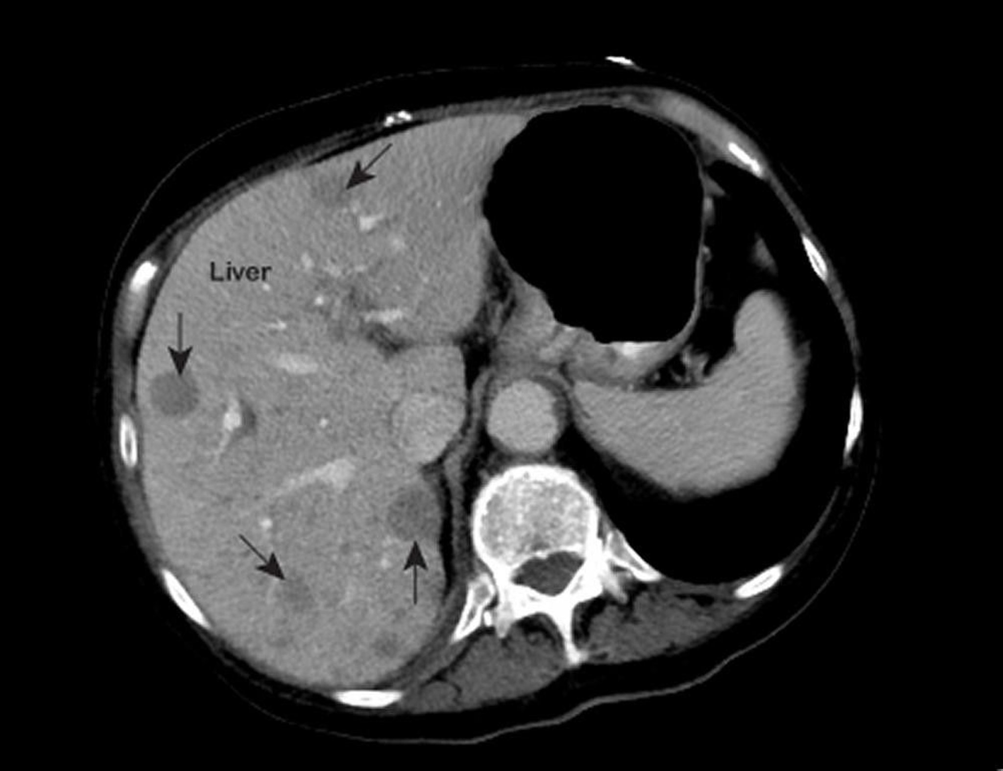
Hasil pencitraan resonansi magnetik (MRI) dada yang tidak normal menunjukkan area yang tidak normal (ditandai dengan panah) di dalam hati. Temuan ini merupakan ciri khas kanker hati metastatik.
Foto milik Patrick O’Kane, MD.
Dalam topik ini
