Kandidiasis Esofagus
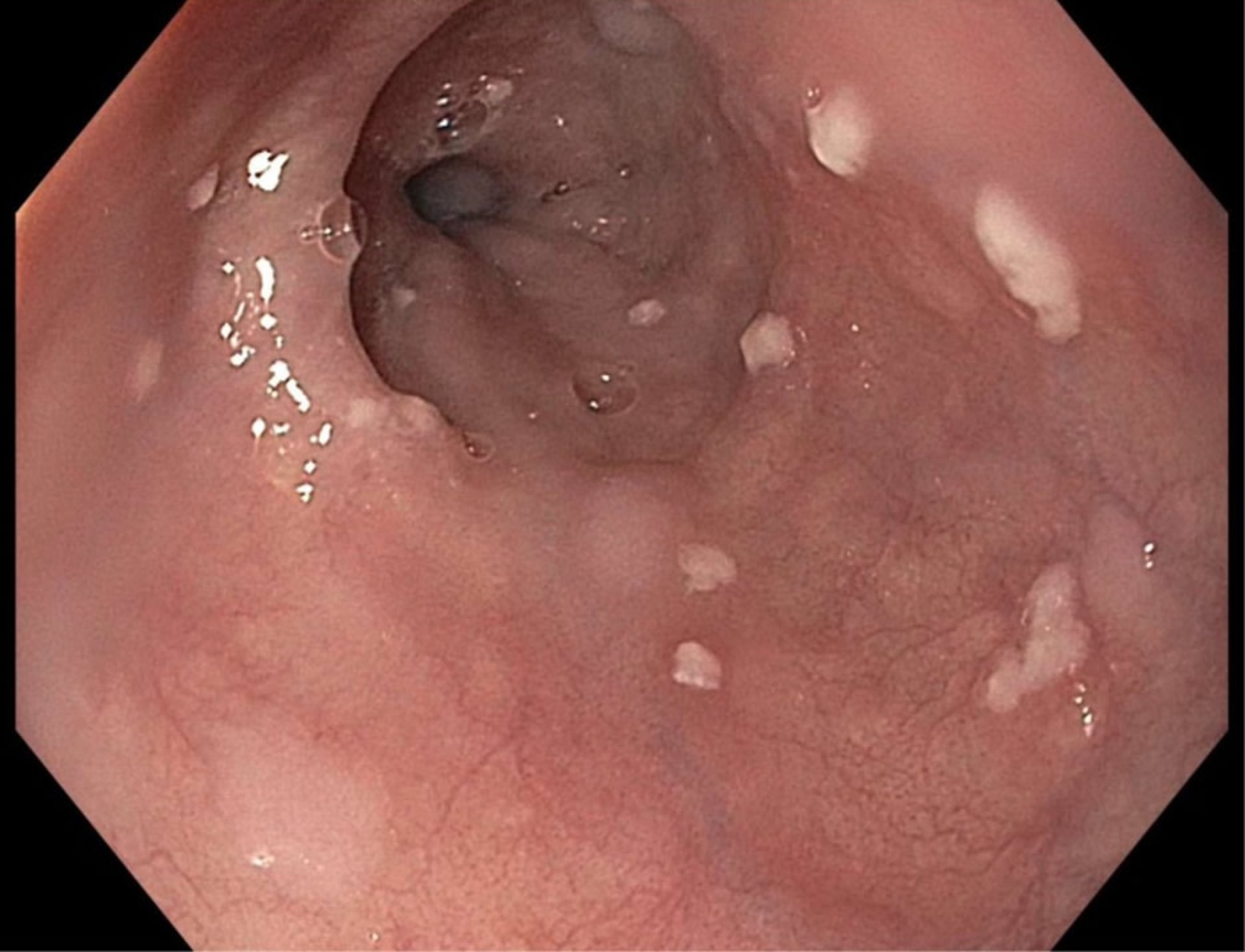
Foto ini menunjukkan bercak-bercak halus yang disebabkan olehKandida.
Gambar disediakan oleh Kristle Lynch, MD.
Dalam topik ini
Foto ini menunjukkan bercak-bercak halus yang disebabkan olehKandida.
Gambar disediakan oleh Kristle Lynch, MD.