Pembesaran Jantung
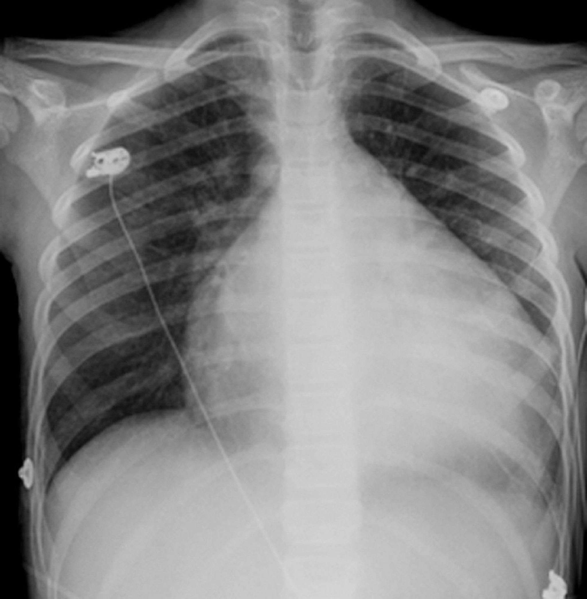
Jantung adalah struktur berbentuk bulat dan berwarna putih di tengah dada. Biasanya jantung memakan ruang kurang dari setengah dada, namun, pada orang ini yang mengalami pembesaran jantung (kardiomiopati), jantung hampir memenuhi 3/4 dimensi dada.
© Springer Science+Business Media
Dalam topik ini
