Maloklusi

(Gigi yang Tidak Selaras)

OlehBernard J. Hennessy, DDS, Texas A&M University, College of Dentistry
Ditinjau OlehDavid F. Murchison, DDS, MMS, The University of Texas at Dallas
Ditinjau/Direvisi Jan 2024 | Dimodifikasi Apr 2025
v28486669_id

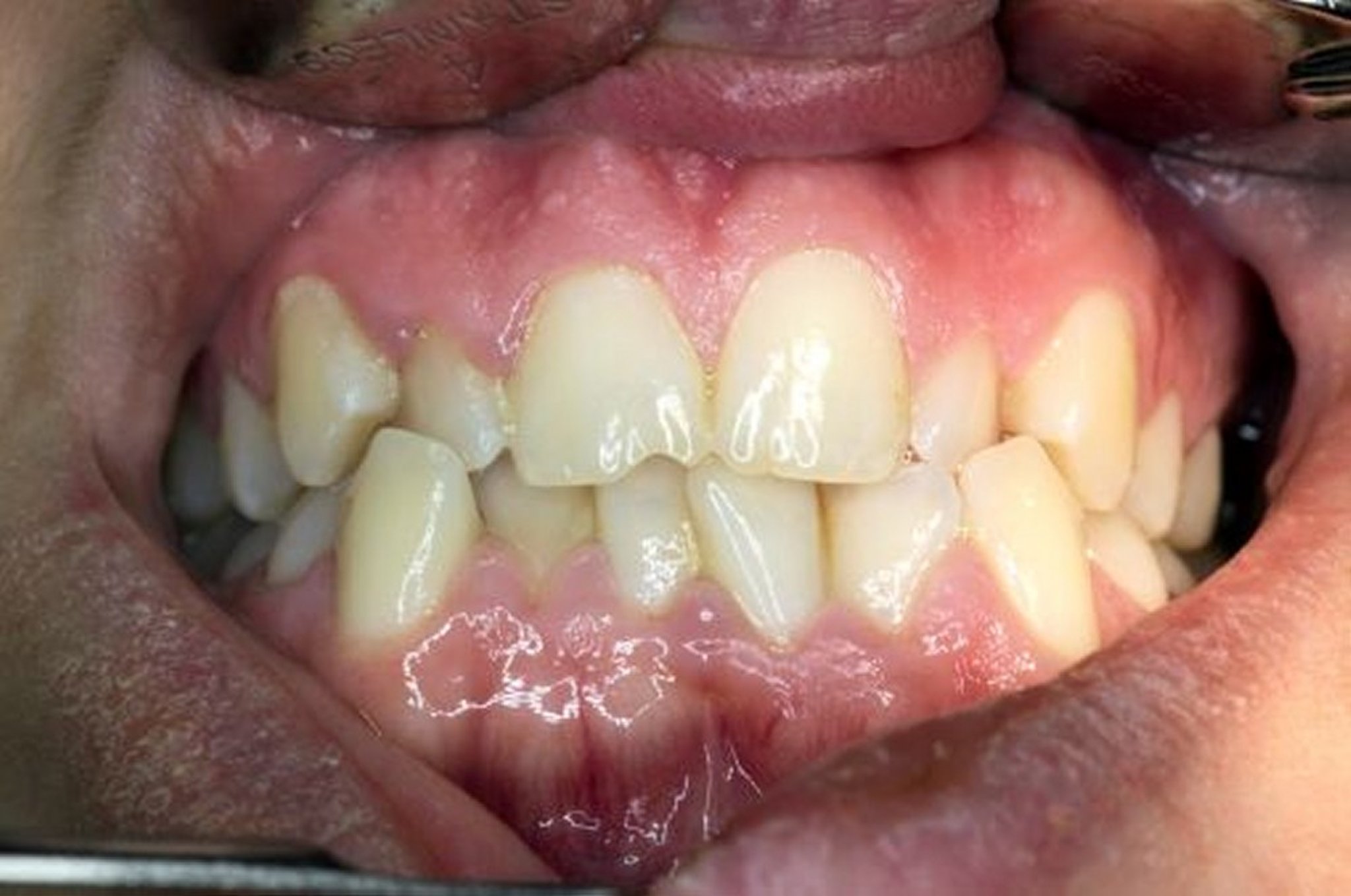
Maloklusi adalah keselarasan abnormal gigi dan kesesuaian posisi gigi atas dan bawah.

Biasanya, gigi atas sedikit tumpang tindih di luar gigi bawah. Tumpang tindih ini memungkinkan proyeksi (tampuk) pada setiap gigi masuk ke lekukan yang sesuai dari gigi yang berlawanan. Penyelarasan yang tepat membuat pengunyahan menjadi paling efektif dan juga mendistribusikan kekuatan pengunyahan secara merata. Mengunyah menghasilkan lebih dari 150 pound (1.000 kilopascal) gaya pada geraham dan mencengkam selama tidur menghasilkan 250 pound (1.700 kilopascal). Jika maloklusi menyebabkan kekuatan terdistribusi secara tidak merata, gigi dapat menjadi aus secara tidak normal, bagian mahkota dapat patah, dan gigi pada akhirnya dapat menjadi longgar.

Mengidentifikasi Gigi Permanen (Dewasa)

Gigi permanen (dewasa) diidentifikasi dengan nomor 1–32. Gigi diberi nomor dari bagian belakang mulut ke depan mulai dari sisi kanan atas dengan nomor 1. Meskipun ada beberapa sistem penomoran gigi, yang ditunjukkan adalah Sistem Penomoran Universal dan adalah yang paling umum digunakan di Amerika Serikat.

Terdapat 32 gigi permanen: satu pasang masing-masing yaitu gigi geraham ketiga atas (1 dan 16), terkadang disebut gigi bungsu; gigi geraham kedua atas (2 dan 15); gigi geraham pertama atas (3 dan 14); gigi geraham depan kedua atas (4 dan 13); gigi geraham depan pertama atas (5 dan 12); gigi taring atas (6 dan 11); gigi seri lateral atas (7 dan 10); gigi seri tengah atas (8 dan 9); gigi geraham ketiga bawah (32 dan 17), terkadang disebut gigi bungsu; gigi geraham kedua bawah (31 dan 18); gigi geraham pertama bawah (30 dan 19); gigi geraham depan kedua bawah (29 dan 20); gigi taring bawah (27 dan 22); gigi seri lateral bawah (26 dan 23); dan gigi seri tengah bawah (25 dan 24).

Penyebab Maloklusi

Ada beberapa penyebab gigi yang tidak sejajar:

  • Ketidakcocokan ukuran antara rahang dan gigi

  • Kebiasaan mengisap ibu jari dan/atau mendorong lidah

  • Gigi copot

  • Cacat lahir tertentu pada rahang

Penyebab paling umum dari gigi yang tidak sejajar adalah rahang terlalu kecil dibandingkan dengan ukuran gigi. Adanya sedikit ketidakcocokan ukuran menyebabkan gigi menjadi terlalu rapat sehingga menjadi tidak sejajar.

Orang yang terbiasa mengisap ibu jari atau mendorong lidah ke atas ke gigi depan dapat menyebabkan gigi atas menjadi menonjol.

Gigi yang copot permanen menciptakan celah yang dapat bergeser ke gigi di dekatnya, mengakibatkan terjadinya ketidaksejajaran, kecuali jika dokter gigi menaruh bridge, implan, atau gigi palsu parsial di celah tersebut. Biasanya, gigi bayi yang copot dapat dengan cepat digantikan oleh gigi permanen. Namun, jika anak-anak kehilangan gigi bayi terlalu cepat (seperti karena cedera), gigi di dekatnya juga dapat bergeser, menyebabkan ketidakselarasan.

Cacat lahir pada rahang dan fraktur rahang sering menyebabkan ketidakselarasan gigi.

Pengobatan Untuk Maloklusi

  • Kawat gigi atau perata gigi

  • Terkadang dilakukan dengan mencabut gigi

  • Terkadang pembedahan

Sering kali, alasan utama untuk memperbaiki ketidakselarasan adalah untuk meningkatkan penampilan. Namun demikian, ketidakselarasan yang parah mungkin perlu diatasi untuk mencegah kerusakan gigi serta memperbaiki kemampuan untuk berbicara dan mengunyah.

Koreksi ketidakselarasan memerlukan kawat gigi, atau untuk sebagian orang, perata gigi yang diresepkan oleh dokter gigi.

Untuk kawat gigi, dokter gigi memasang kawat gigi (ikatan) pada gigi. Ikatan gigi terhubung satu sama lain dengan kawat dan pita elastis yang memberikan kekuatan untuk menarik gigi ke arah yang benar secara perlahan dan bertahap. Dengan menarik perlahan, tulang di bawah soket gigi sebenarnya akan terbentuk kembali, sehingga menyebabkan pergeseran gigi secara permanen. Terkadang gigi harus dicabut terlebih dahulu agar ada ruang untuk penyelarasan kembali. Terkadang satu atau beberapa gigi perlu sedikit digerinda atau dibangun agar pertemuannya lebih baik. Setelah gigi disejajarkan dengan benar, kawat gigi dilepas dan orang-orang mengenakan plastik dan penahan kawat untuk mencegah gigi bergeser kembali. Pertama, penahan dikenakan 24 jam sehari, kemudian dikenakan hanya pada malam hari selama 2 atau 3 tahun.

Perata gigi terkadang disebut sebagai kawat gigi bening atau kawat gigi tak terlihat. Perata gigi adalah serangkaian peralatan plastik bening (serupa dengan penahan gigi) yang digunakan dalam urutan tertentu untuk secara bertahap menggerakkan gigi (hingga 0,3 mm per perata gigi). Setiap perata gigi dikenakan selama sekitar 2 minggu dan kemudian diganti dengan yang baru sampai ketidakselarasan diperbaiki. Seperti halnya kawat gigi tradisional, penahan digunakan untuk mencegah gigi bergeser kembali.

Terkadang cacat lahir pada rahang dan patah rahang yang tidak sembuh dengan baik harus diperbaiki dengan pembedahan.

Informasi Lebih Lanjut

Referensi berbahasa Inggris berikut ini mungkin akan berguna. Harap diperhatikan bahwa MANUAL ini tidak bertanggung jawab atas konten referensi ini.

  1. MouthHealthy.org: Ini memberikan informasi tentang kesehatan mulut, termasuk nutrisi dan panduan dalam memilih produk yang memiliki stempel persetujuan American Dental Association. Terdapat juga saran untuk mencari dokter gigi serta cara dan waktu untuk berkunjung.

Uji Pengetahuan Anda
Uji Pengetahuan AndaTake a Quiz!