जिंजिवाइटिस क्या होता है?
जब आपके मसूड़े लाल हो जाते हैं, सूज जाते हैं और उनमें से आसानी से खून बहने लगता है तो इस स्थिति को जिंजिवाइटिस कहा जाता है। अगर जिंजिवाइटिस का इलाज नहीं किया जाता है, तो दांत और मसूड़ों की गंभीर समस्याएं हो सकती हैं जैसे पेरियोडोंटाइटिस (पायरिया)।
आमतौर पर जिंजिवाइटिस दांतों की अच्छी देखभाल न करने के कारण होता है
कुछ दवाएं लेने या कुछ बीमारियां होने से भी जिंजिवाइटिस हो सकता है
आमतौर पर दांतों की अच्छी तरह देखभाल करने पर, जिंजिवाइटिस आसानी से ठीक हो जाता है
अपने दांतों को अच्छी तरह से ब्रश करने और फ्लॉस करने से जिंजिवाइटिस को रोकने में मदद मिल सकती है
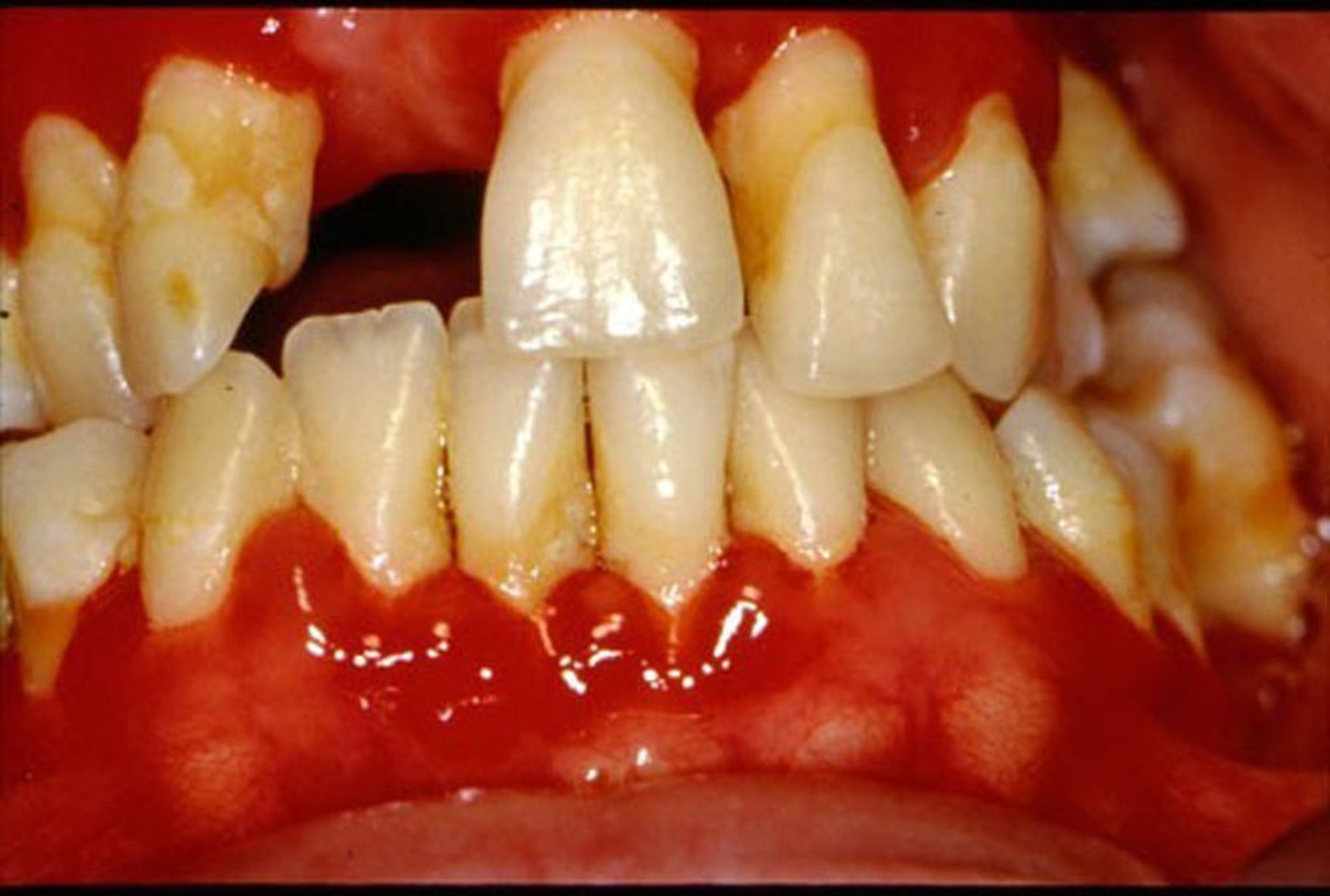
जिंजिवाइटिस के कारण मसूड़े लाल हो जाते हैं और सूज जाते हैं।
जोनाथन ए शिप, DMD द्वारा उपलब्ध कराई गई इमेज।
जिंजिवाइटिस क्यों होता है?
लगभग सभी जिंजिवाइटिस प्लाक के कारण होते हैं। प्लाक कीटाणुओं से भरी एक चिपचिपी परत है जो आपके दांतों पर बनती है। बहुत अधिक प्लाक होने के सबसे आम कारण हैं:
अपने दांतों को अच्छी तरह से ब्रश या फ्लॉस न करना
ज़्यादा दिनों तक दांतों पर बना रहने वाला प्लाक सख्त हो जाता है। सख्त हुए प्लाक को टार्टर कहा जाता है। आप ब्रश और फ्लॉस करके टार्टर को पूरी तरह से नहीं हटा सकते।
आपको जिंजिवाइटिस इन कारणों से भी हो सकता है:
कुछ दवाएं लेने से
विटामिन C या नियासिन की भरपूर मात्रा न मिलने पर
हार्मोनल परिवर्तनों के कारण (उदाहरण के लिए, गर्भावस्था या मीनोपॉज़/रजोनिवृत्ति के कारण)
मुंह में संक्रमण होने पर
किसी दांत पर असर पड़ने से (एक दांत जो आपके मसूड़े से पूरी तरह से नहीं टूटा है)
जिंजिवाइटिस के लक्षण क्या हैं?
जिंजिवाइटिस के लक्षणों में शामिल हैं:
मसूड़े लाल होना (गुलाबी होने के बजाय)
मसूड़ों की सूजन
मसूड़ों से आसानी से खून बहना
दांतों के डॉक्टर जिंजिवाइटिस का इलाज कैसे करते हैं?
दांतों के डॉक्टर यह करेंगे:
टार्टर और प्लाक को खुरच कर आपके दांतों को साफ करेंगे
आपके जिंजिवाइटिस के कारण का इलाज करेंगे
मुझे जिंजिवाइटिस को रोकने के लिए क्या करना होगा?
आप जिंजिवाइटिस को इन तरीकों से रोक सकते हैं:
हर दिन अपने दांतों को ब्रश करके और फ्लॉस करके
माउथवॉश का उपयोग करके जो प्लाक को कम करने में मदद करता है
हर 6 से 12 महीने में या जरूरत पड़ने पर अधिक बार, अपने दांतों को दांतों के डॉक्टर से साफ करवाकर



