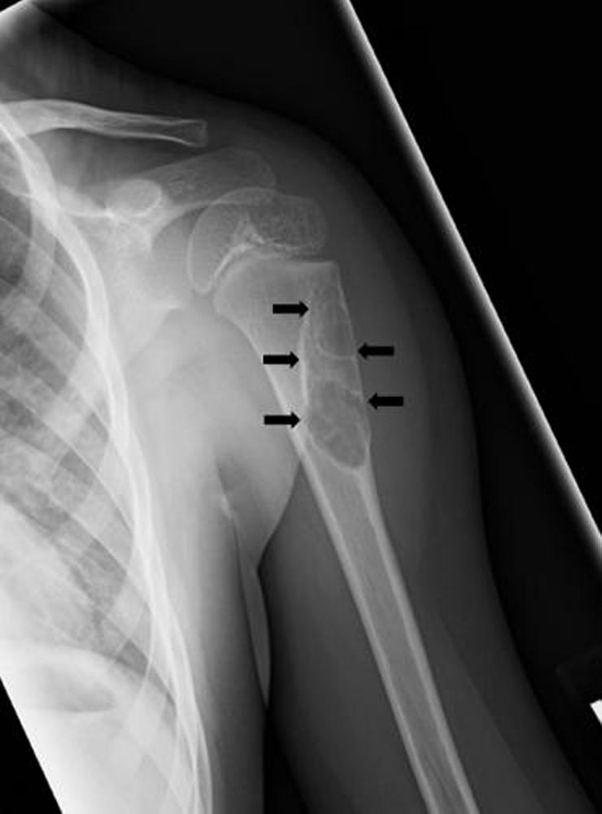
यूनिकैमेरल हड्डी का सिस्ट
यह एक्स-रे ऊपरी बाँह की हड्डी में एक साधारण यूनिकैमेरल हड्डी के सिस्ट (तीर) को दिखाता है।
मिशेल जे. जॉयस, MD, और हैकन इलास्लैन MD के छवि सौजन्य से।
इन विषयों में
यह एक्स-रे ऊपरी बाँह की हड्डी में एक साधारण यूनिकैमेरल हड्डी के सिस्ट (तीर) को दिखाता है।
मिशेल जे. जॉयस, MD, और हैकन इलास्लैन MD के छवि सौजन्य से।