honeypot link
मुख्य सामग्री पर जाएं
  • इस पर हमें फॉलो करें facebook
  • इस पर हमें फॉलो करें Twitter
MSDMSD मैन्युअलउपभोक्ता संस्करण
स्वास्थ्य विषयस्वस्थ रहन - सहनलक्षणआपात स्थितित्वरित तथ्यसंसाधनके बारे में
homeस्वास्थ्य विषयस्वस्थ रहन - सहन
Search icon
  1. <छवियां
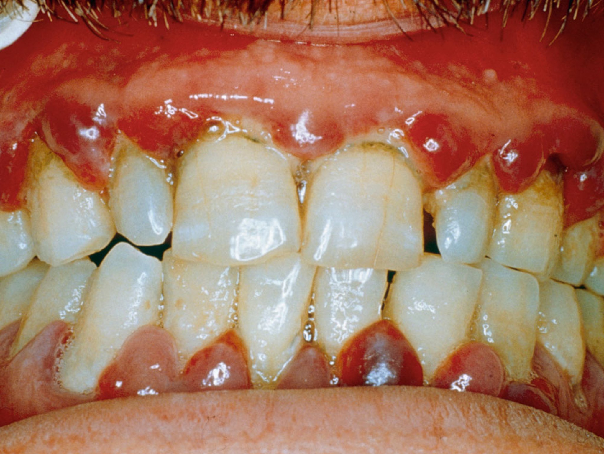
    Swollen Gums in Scurvy

    Swollen Gums in Scurvy

    This photo shows swollen, purple gums in a person who has scurvy.

    BIOPHOTO ASSOCIATES/SCIENCE PHOTO LIBRARY

    इन विषयों में
    • विटामिन C की कमी >
    MSD
    • परिचय
    • अस्वीकरण
    • अनुमतियाँ
    • निजता
    • Cookie Preferences
    • उपयोग की शर्तें
    • लाइसेंसिंग
    • संपर्क करें
    • पशु चिकित्सा संस्करण
    • इस पर हमें फॉलो करें facebook
    • इस पर हमें फॉलो करें Twitter
    This icon serves as a link to download the eSSENTIAL Accessibility assistive technology app for individuals with physical disabilities. It is featured as part of our commitment to diversity and inclusion.
    • इस पर हमें फॉलो करें facebook
    • इस पर हमें फॉलो करें Twitter
    This icon serves as a link to download the eSSENTIAL Accessibility assistive technology app for individuals with physical disabilities. It is featured as part of our commitment to diversity and inclusion.
    MSD

    कॉपीराइट© 2026Copyright © 2023 Merck & Co., Inc., Rahway, NJ, और इसके सहयोगी। सर्वाधिकार सुरक्षित।