हड्डी का यूइँग सार्कोमा
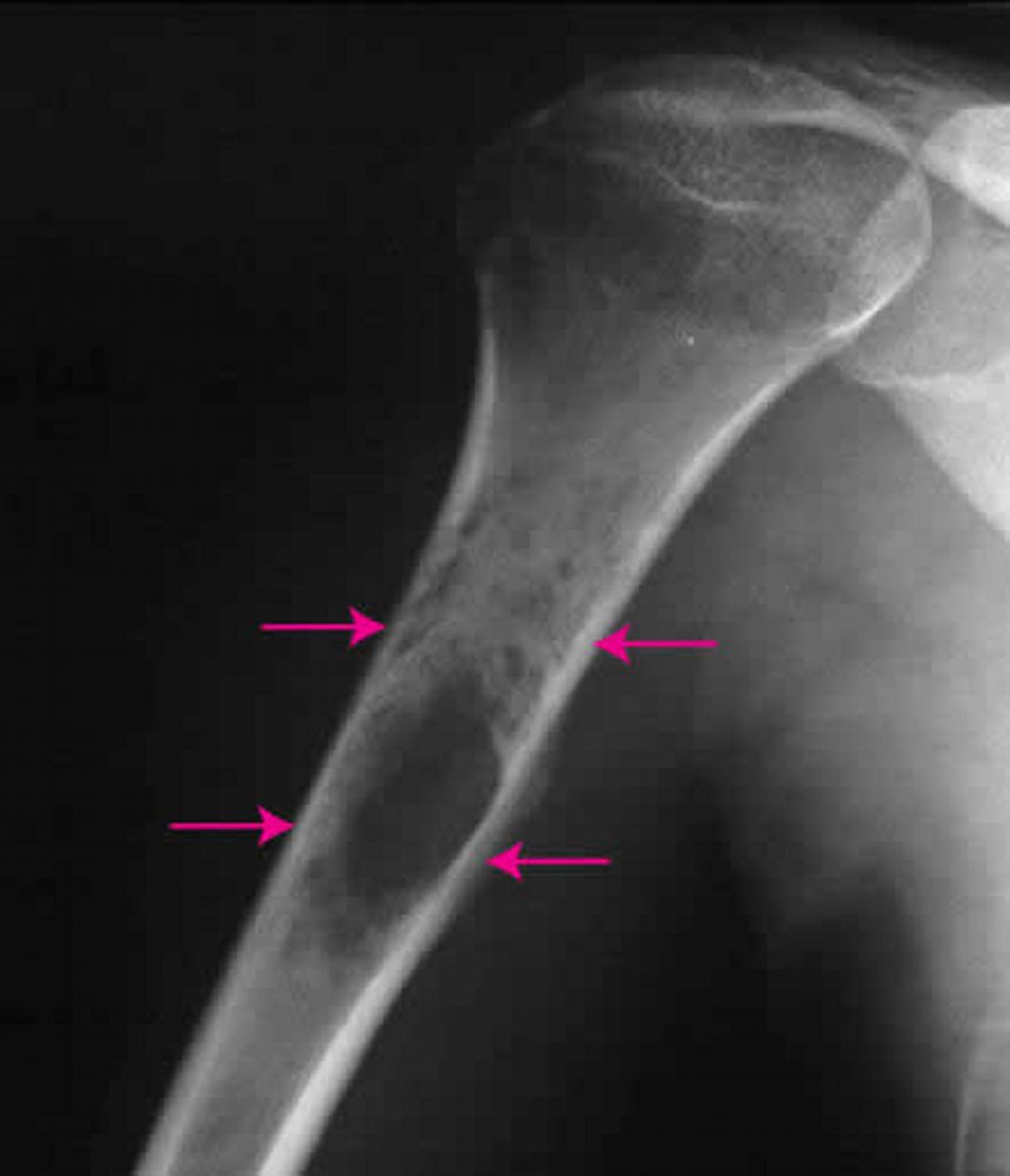
कंधे का यह एक्स-रे ऊपरी बाँह की हड्डी के भीतर यूइँग सार्कोमा (तीर) को दिखाता है।
मिशेल जे. जॉयस, MD, और हैकन इलास्लैन MD के छवि सौजन्य से।
इन विषयों में
कंधे का यह एक्स-रे ऊपरी बाँह की हड्डी के भीतर यूइँग सार्कोमा (तीर) को दिखाता है।
मिशेल जे. जॉयस, MD, और हैकन इलास्लैन MD के छवि सौजन्य से।