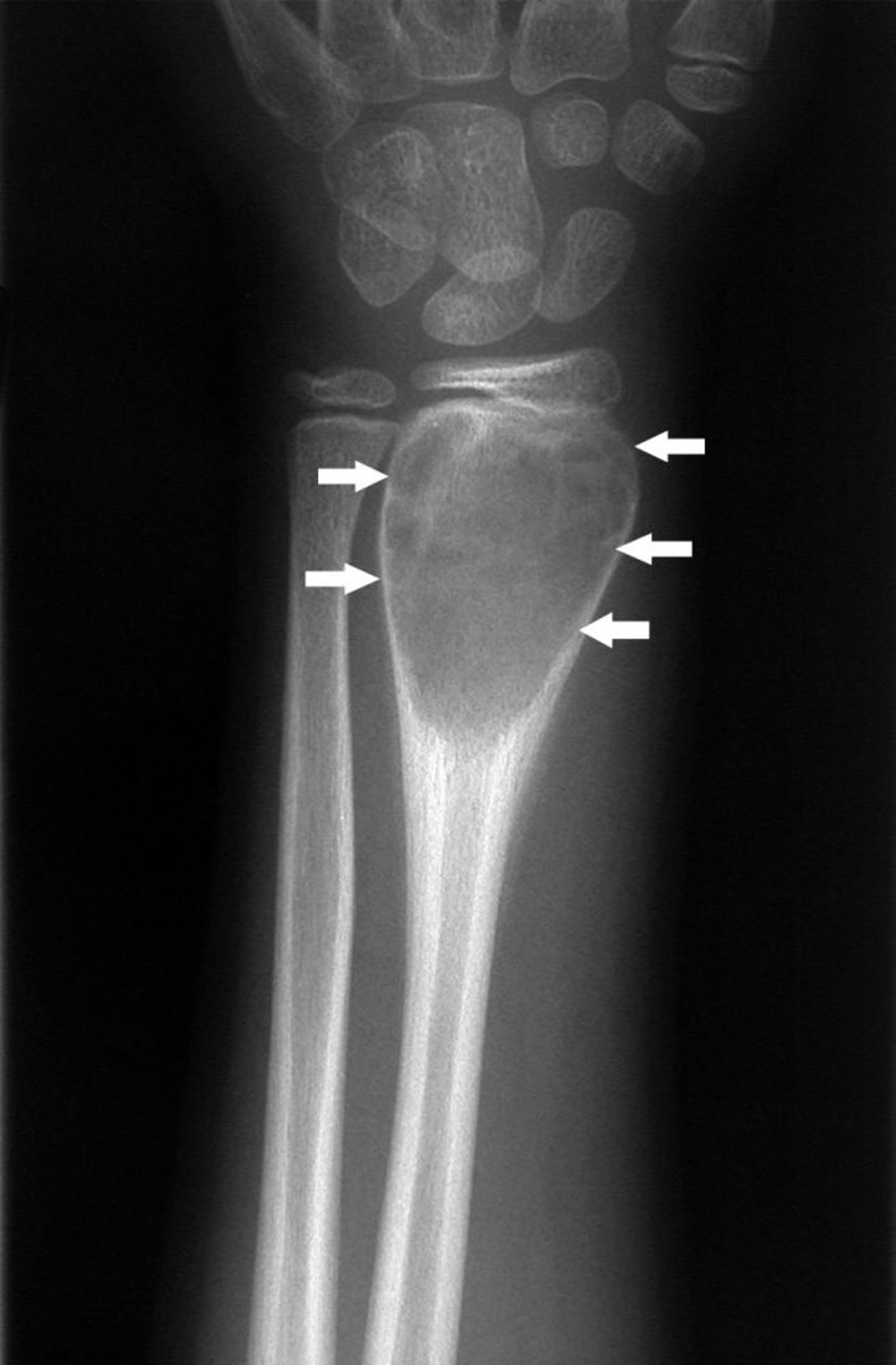
कलाई की हड्डी के एन्युरिज़्मल सिस्ट
कलाई का यह एक्स-रे एक हड्डी के एन्युरिज़्मल सिस्ट (तीर) को दिखाता है।
मिशेल जे. जॉयस, MD, और हैकन इलास्लैन MD के छवि सौजन्य से।
इन विषयों में
कलाई का यह एक्स-रे एक हड्डी के एन्युरिज़्मल सिस्ट (तीर) को दिखाता है।
मिशेल जे. जॉयस, MD, और हैकन इलास्लैन MD के छवि सौजन्य से।