एक्यूट नेक्रोटाइज़िंग अल्सरेटिव जिंजिवाइटिस
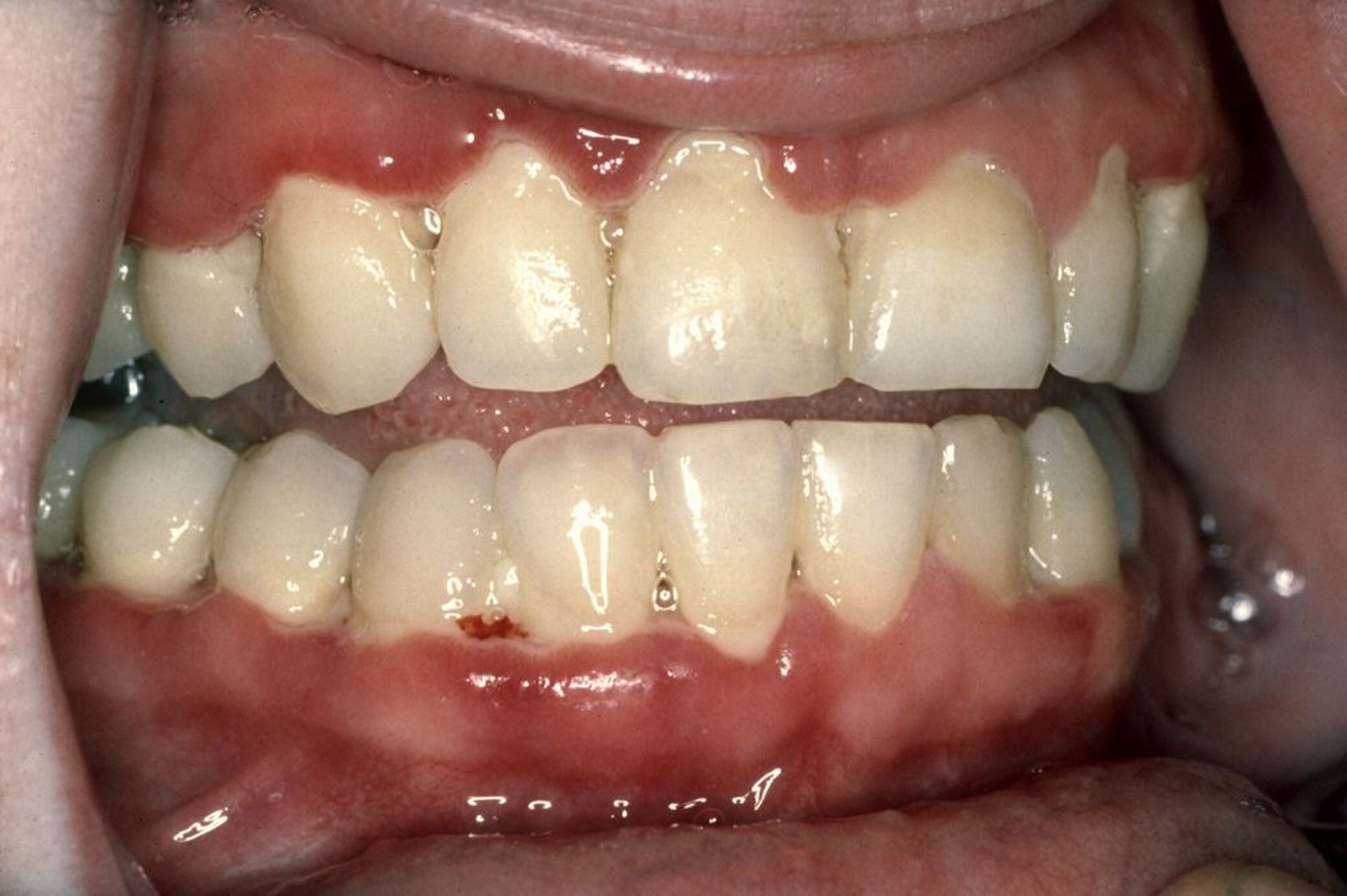
एक्यूट नेक्रोटाइज़िंग अल्सरेटिव जिंजिवाइटिस (ANUG) की पहचान मसूड़ों में दर्द उठने से की जाती है जिनमें आसानी से खून बहता है, दांतों के बीच का गम टिशू घटने लगता है और खत्म हो जाता है, और साँस में बदबू जैसे लक्षण दिखते हैं। इस तस्वीर में, एक बहुत लाल गम टिशू को दिखाया गया है। मुँह के निचले भाग के आगे की मसूड़ों की परत पर साफ़ देखा जाता है, वहां पर एक सलेटी, मृत ऊतक (स्यूडोमेम्ब्रेन) की एक पतली से कतार भी होती है जिसमें आसानी से खून बहता है।
इमेज क्रेग फाउलर, DDS के सौजन्य से।
इन विषयों में
