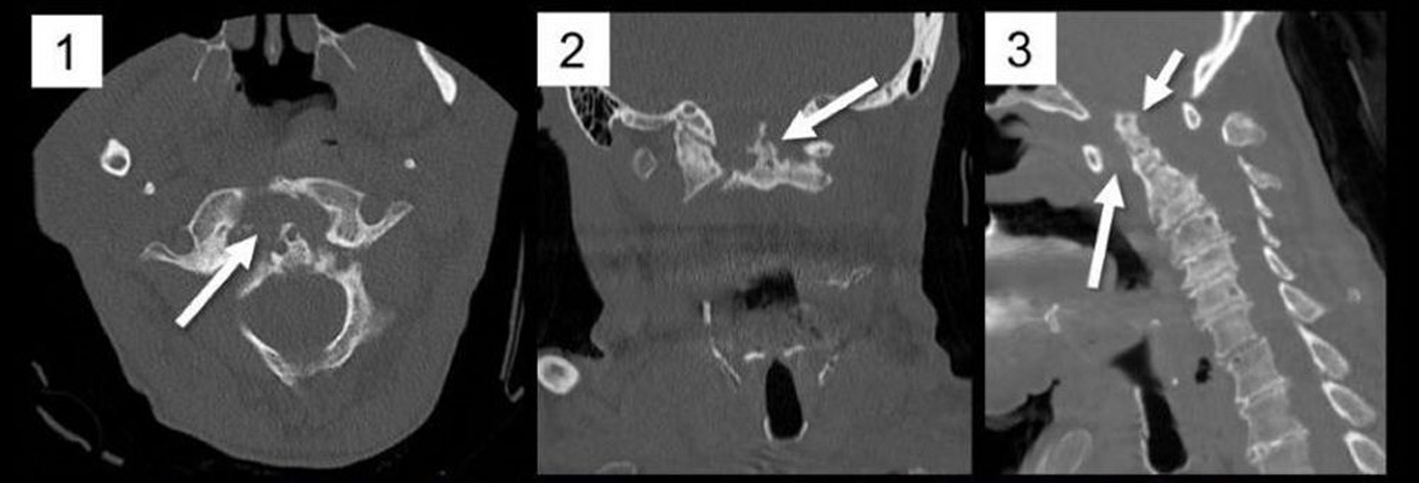
Subluxation axo-atloïdienne (atlantoaxoïdienne) (TDM)
Les reformations multiplanaires d'une TDM du rachis cervical dans les plans axial (1), coronal (2) et sagittal (3) montrent un élargissement marqué de l'intervalle atlantodentaire antérieur secondaire à la formation de pannus comme dans la polyarthrite rhumatoïde (1, flèche; 3, flèche longue), provoquant une subluxation postérieure et une impression basilaire du processus odontoïde C2 (3, flèche courte). Le processus odontoïde est nettement érodé (2, flèche), un signe typique de la polyarthrite rhumatoïde.
Image courtoisie de A. John Tsiouris, MD.
Dans ces sujets
