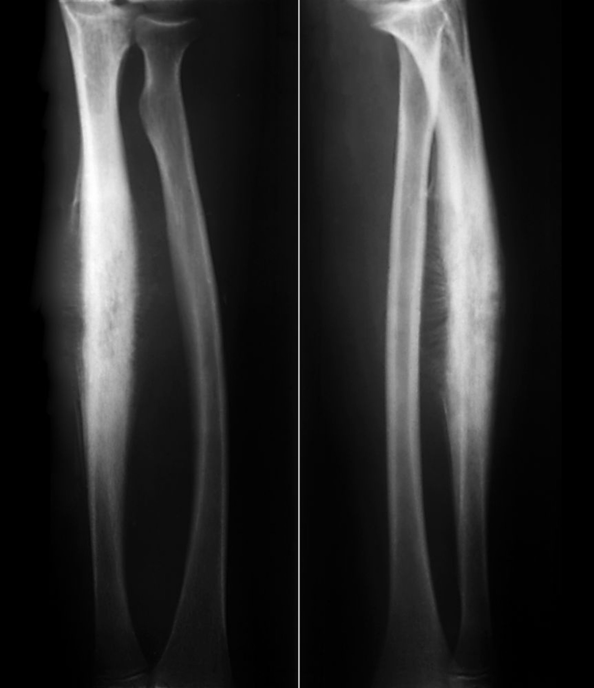
Sarcome d'Ewing du radius
Ce sarcome d'Ewing de la diaphyse radiale montre une formation osseuse réactive sous-périostée dans une réaction périostée classique en "rayon de soleil" ainsi qu'une destruction lytique de l'os cortical.
ZEPHYR/SCIENCE PHOTO LIBRARY
Dans ces sujets
