Diverticulose (TDM)
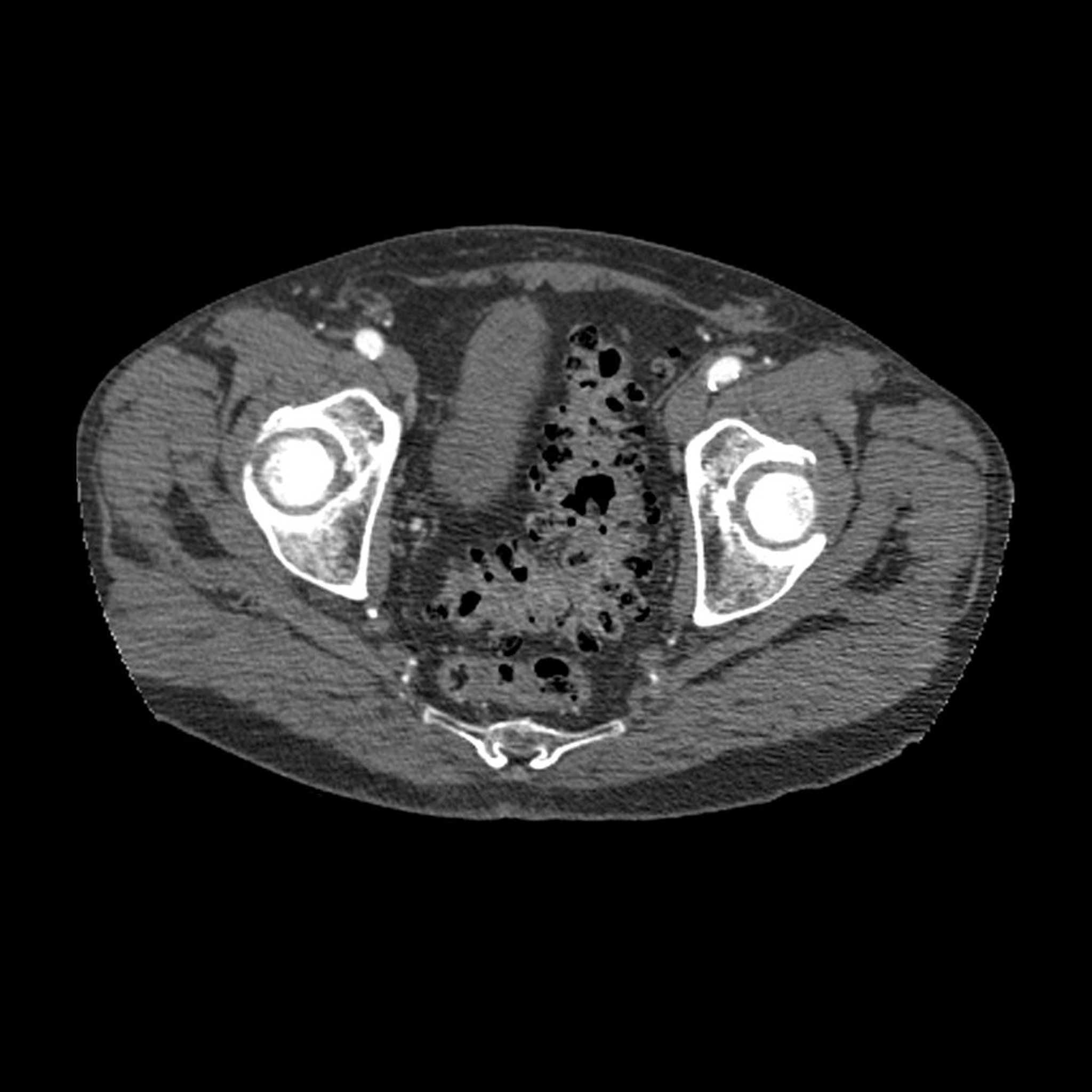
Cette image TDM en coupe axiale à travers le bassin montre l'aspect typique d'une diverticulose (les zones sombres dans la paroi du côlon sigmoïde).
LIVING ART ENTERPRISES, LLC/SCIENCE PHOTO LIBRARY
Dans ces sujets
Cette image TDM en coupe axiale à travers le bassin montre l'aspect typique d'une diverticulose (les zones sombres dans la paroi du côlon sigmoïde).
LIVING ART ENTERPRISES, LLC/SCIENCE PHOTO LIBRARY