Ulcère dans la maladie de Crohn
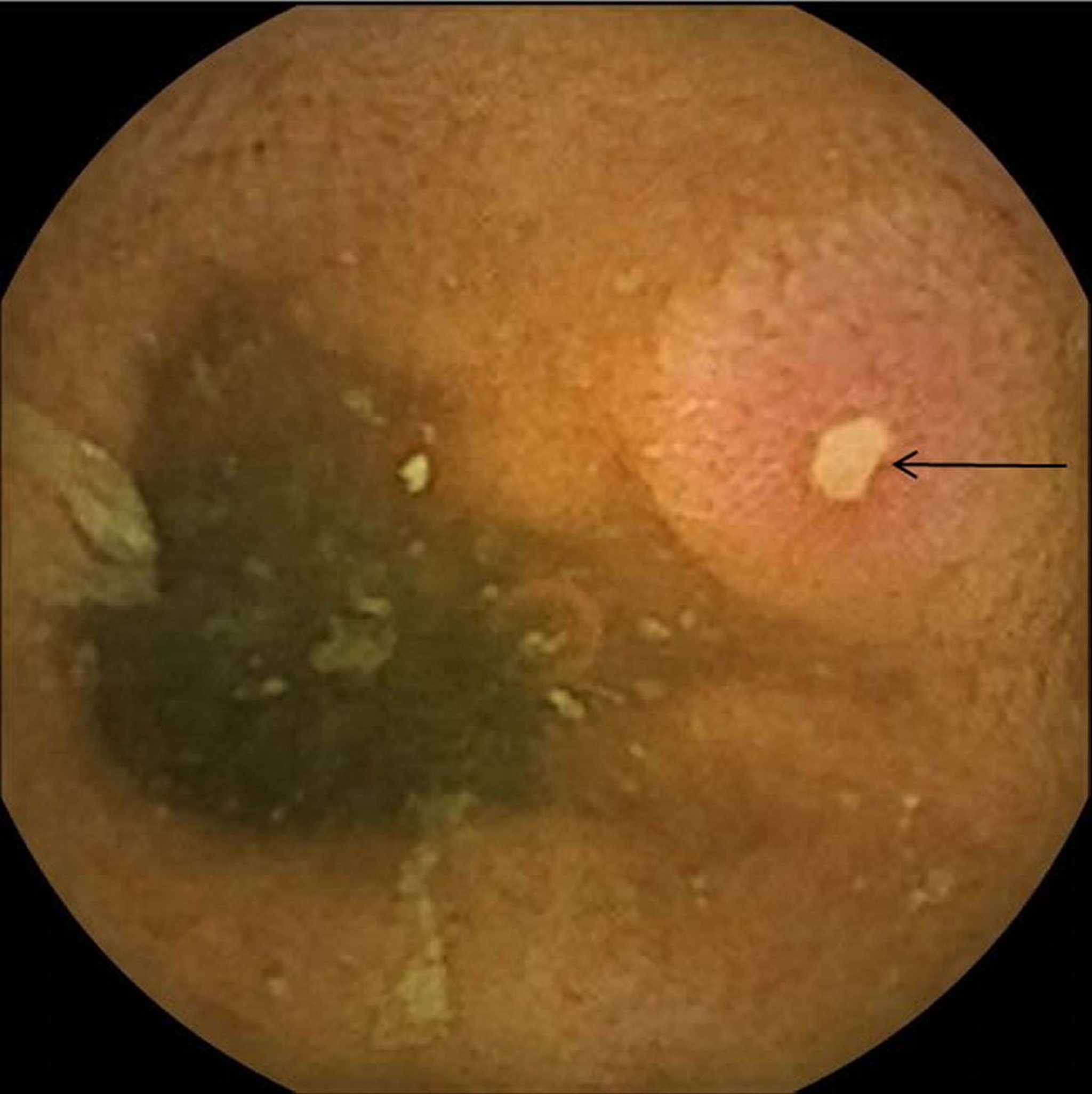
Cette photo montre un petit ulcère (flèche) dans l’intestin dû à la maladie de Crohn.
Photo publiée avec l’aimable autorisation des Drs Aaron E. Walfish et Rafael A. Ching Companioni.
Dans ces sujets
Cette photo montre un petit ulcère (flèche) dans l’intestin dû à la maladie de Crohn.
Photo publiée avec l’aimable autorisation des Drs Aaron E. Walfish et Rafael A. Ching Companioni.