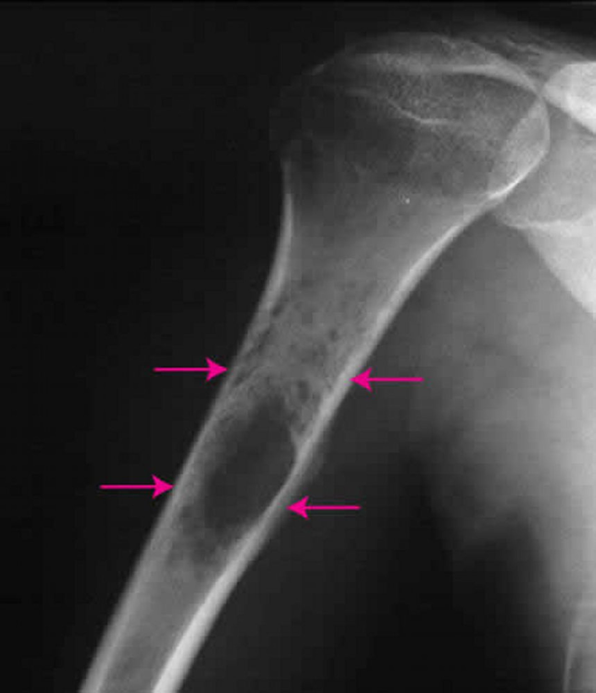
Sarcome osseux d’Ewing
Cette radiographie de l’épaule montre un sarcome d’Ewing (flèches) au niveau de l’os de l’avant-bras.
Image publiée avec l’aimable autorisation des Drs Michael J. Joyce et Hakan Ilaslan.
Dans ces sujets
Cette radiographie de l’épaule montre un sarcome d’Ewing (flèches) au niveau de l’os de l’avant-bras.
Image publiée avec l’aimable autorisation des Drs Michael J. Joyce et Hakan Ilaslan.