Parodontite
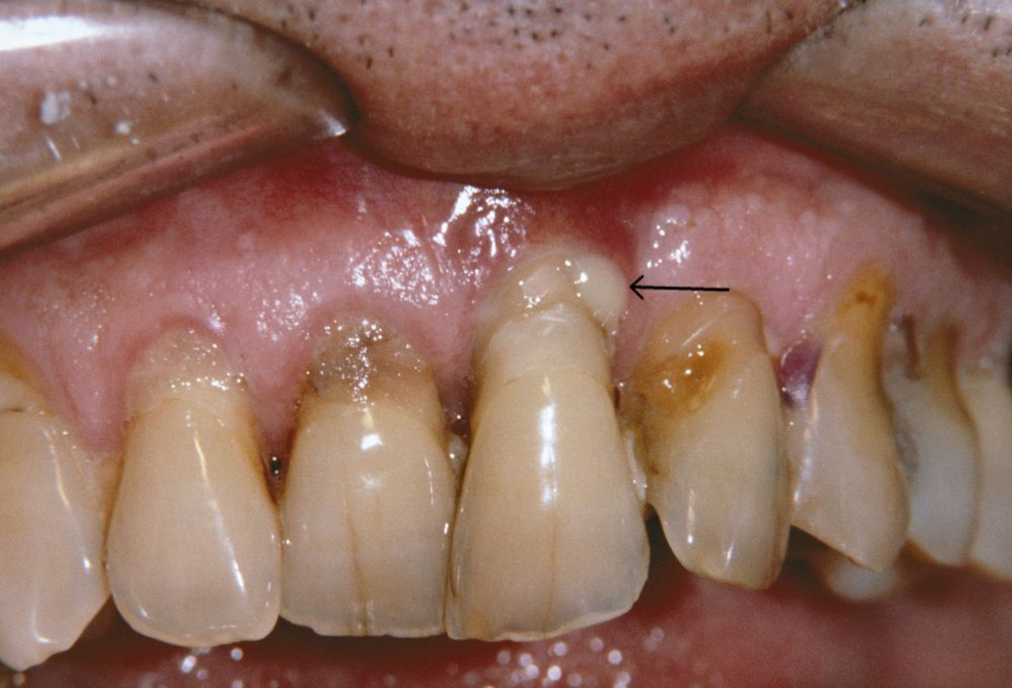
Cette photo montre des gencives rétractées et un abcès parodontal (flèche) chez une personne atteinte de parodontite.
CNRI/SCIENCE PHOTO LIBRARY
Dans ces sujets
Cette photo montre des gencives rétractées et un abcès parodontal (flèche) chez une personne atteinte de parodontite.
CNRI/SCIENCE PHOTO LIBRARY