Manual Msd

Please confirm that you are a health care professional

honeypot link

Neumomediastino

Por

Richard W. Light

, MD, Vanderbilt University Medical Center

Última modificación del contenido ene. 2021
Información: para pacientes
Recursos de temas

El neumomediastino es la presencia de aire en los intersticios mediastínicos.

Las causas principales de neumomediastino son

El síntoma principal es el dolor torácico subesternal, que en ocasiones puede ser intenso.

El examen físico puede mostrar enfisema subcutáneo, en general en la escotadura supraesternal, junto con un ruido de chasquido o crujido sincrónico con el latido cardíaco; este ruido se ausculta mejor sobre el corazón cuando el paciente está en posición de decúbito lateral izquierdo (signo de Hamman).

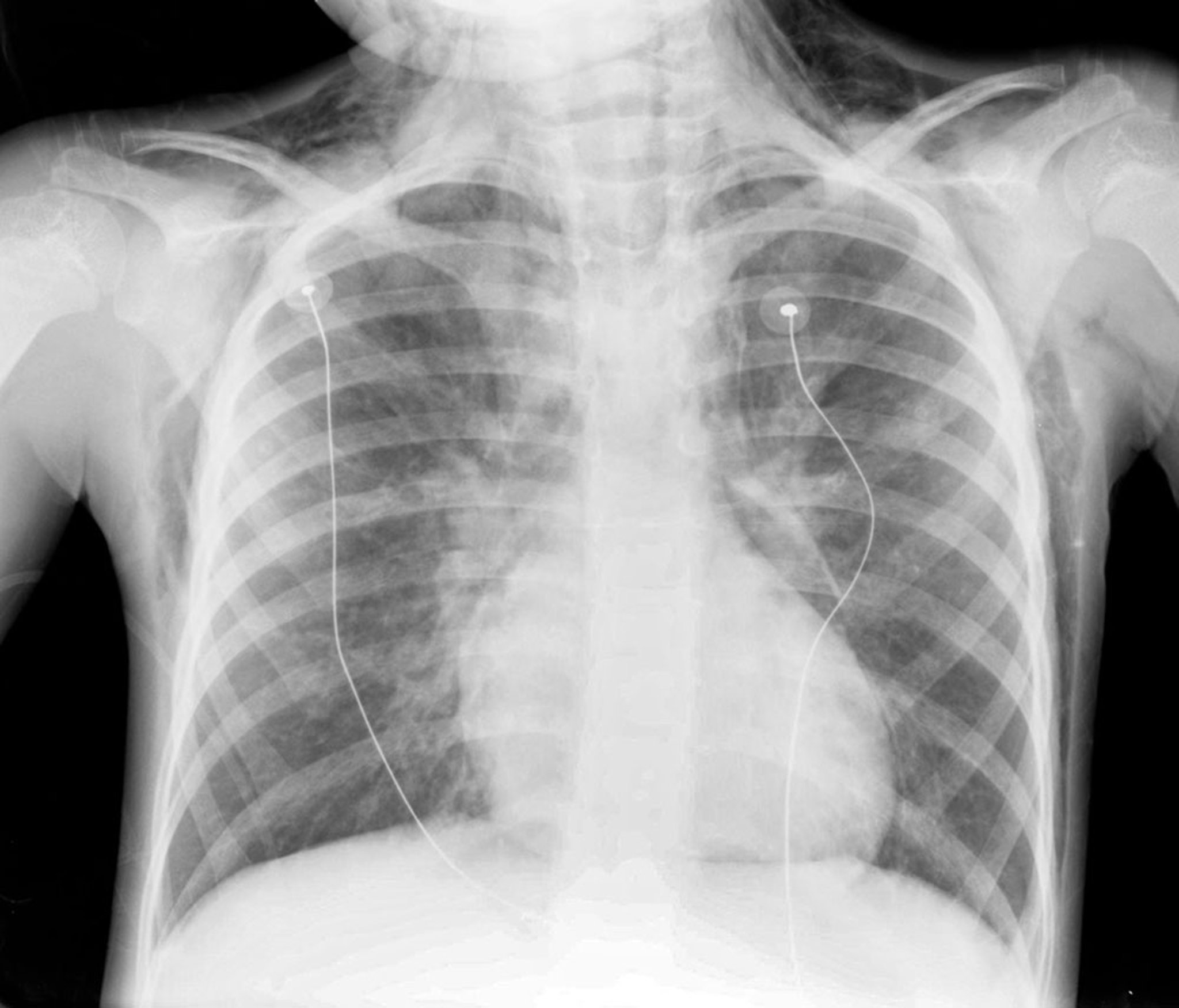
El diagnóstico se confirma mediante radiografía de tórax, que muestra aire en el mediastino.

Perlas y errores

  • Aunque el neumomediastino puede producir hallazgos dramáticos en el examen y/o las radiografías y puede indicar un trastorno grave, el tratamiento del neumomediastino propiamente dicho generalmente es innecesario.

Tratamiento

  • Por lo general innecesario

En general, no se necesita tratamiento, aunque el neumomediastino a tensión con compresión de estructuras mediastínicas (raras) puede aliviarse con la aspiración con aguja, dejando la aguja abierta a la atmósfera como se hace con el neumotórax a tensión. Si el neumomediastino es secundario a la rotura de esófago o de intestino, se requiere hospitalización, pero ésta no es necesaria si es secundario a la rotura alveolar.

Información: para pacientes
NOTA: Esta es la versión para profesionales. PÚBLICO GENERAL: Hacer clic aquí para obtener la versión para público general.
Obtenga los
Evalúe sus conocimientos
Síndrome pulmonar-renal
¿Cuál de las siguientes afecciones es la causa más frecuente del síndrome pulmonar-renal (SPR)?
¡Descargue la aplicación  de los Manuales MSD! ANDROID iOS
¡Descargue la aplicación  de los Manuales MSD! ANDROID iOS
¡Descargue la aplicación  de los Manuales MSD! ANDROID iOS
¡Descargue la aplicación  de los Manuales MSD! ANDROID iOS
¡Descargue la aplicación  de los Manuales MSD! ANDROID iOS
¡Descargue la aplicación  de los Manuales MSD! ANDROID iOS

También de interés

¡Descargue la aplicación  de los Manuales MSD! ANDROID iOS
¡Descargue la aplicación  de los Manuales MSD! ANDROID iOS
¡Descargue la aplicación  de los Manuales MSD! ANDROID iOS
ARRIBA