El hígado es un órgano metabólicamente complejo. Los hepatocitos (células parenquimatosas del hígado) desempeñan las funciones metabólicas de este órgano:
Formación y excreción de bilis durante el metabolismo de la bilirrubina (véase Generalidades del metabolismo de la bilirrubina)
Síntesis de lípidos y secreción de lipoproteínas plasmáticas
Control del metabolismo del colesterol
Síntesis de urea, albúmina sérica, factores de coagulación, enzimas y varias otras proteínas
Metabolismo o detoxificación de fármacos y otras sustancias extrañas
Generalidades sobre la estructura del hígado
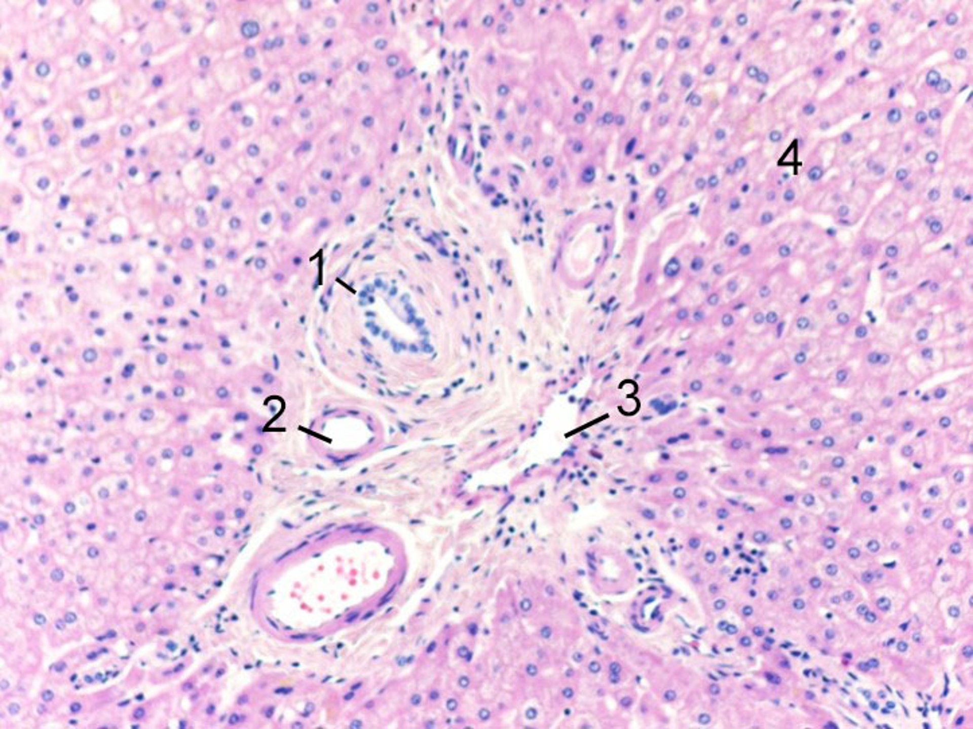
A nivel celular, los hepatocitos están organizados dentro de un lobulillo, que es un grupo de células de forma hexagonal con una vena hepática en el centro, y tríadas portales alrededor de la periferia. Las tríadas portales están compuestas por ramas terminales paralelas y adyacentes de conductos biliares, venas porta y arterias hepáticas. La sangre fluye desde la arteria hepática y la vena porta (en las tríadas portales) en la periferia, a través de los sinusoides entre los hepatocitos, hacia la vena central. En consecuencia, los hepatocitos en el centro del lobulillo son más susceptibles a la isquemia porque el oxígeno y los nutrientes fueron extraídos por los hepatocitos mientras la sangre fluía a través de los sinusoides desde la periferia. Canales más pequeños, llamados canalículos biliares, drenan la bilis secretada por los hepatocitos hacia los conductos biliares intrahepáticos en la periferia.
1 = Rama del conducto biliar; 2 = rama de la arteria hepática; 3 = rama de la vena porta; 4 = hepatocitos.
Image courtesy of Danielle Tholey, MD, and M. Isabel Fiel, MD, MS, FAASLD.
Generalidades del metabolismo de la bilirrubina
La degradacion de los productos del hemo produce bilirrubina (producto de desecho insoluble) y otros pigmentos biliares. La bilirrubina debe convertirse en hidrosoluble para excretarse. Esta transformación sucede en 5 pasos: formación, transporte plasmático, captación hepática, conjugación y excreción biliar.
Formación: todos los días se sintetizan entre 250 y 350 mg de bilirrubina no conjugada; entre el 70 y el 80% procedente de la degradación de los eritrocitos en vías de degeneración y entre el 20 y el 30% (bilirrubina de marcación temprana) se origina sobre todo a partir de otras proteínas hemo presentes en la médula osea y el hígado. La hemoglobina (Hb) se degrada y se convierte en hierro y biliverdina, que a su vez se transforma en bilirrubina.
Transporte en el plasma: la bilirrubina no conjugada (indirecta) no es hidrosoluble y, por lo tanto, se transporta en el plasma unida a la albúmina. No puede pasar a través de la membrana glomerular hacia la orina. La unión a la albúmina se debilita en ciertas circunstancias (p. ej., acidosis) y algunas sustancias (p. ej., salicilatos, ciertos antibióticos) compiten por los sitios de unión.
Captación hepática: el hígado absorbe la bilirrubina con facilidad, pero no la albúmina sérica unida a ella.
Conjugación: la bilirrubina no conjugada presente en el hígado se conjuga para formar sobre todo diglucurónido de bilirrubina (bilirrubina conjugada [directa]). Esta reacción, catalizada por la enzima microsómica glucuroniltransferasa, convierte a la bilirrubina en hidrosoluble.
Excreción biliar: la bilirrubina conjugada, junto con otros constituyentes de la bilis, es secretada hacia pequeños canalículos biliares. Estos canalículos, formados por hepatocitos adyacentes, coalescen progresivamente en conductos, conductos biliares interlobulillares y conductos hepáticos más grandes hacia el conducto hepático. El conducto hepático principal se une con el conducto cístico procedente de la vesícula biliar para formar el conducto colédoco, que desemboca en el duodeno a la altura de la ampolla de Vater.
En el intestino, las bacterias metabolizan la bilirrubina para formar urobilinógeno y un elevado porcentaje de esta sustancia continúa su metabolismo para constituir estercobilinas, que le confieren el color marrón a las heces. En presencia de obstrucción biliar completa, las heces pierden su color normal y adquieren un color gris claro (heces acólicas). Parte del urobilinógeno se reabsorbe, se excreta del hepatocito e ingresa en la bilis (circulación enterohepática). Un pequeño porcentaje se excreta a través de la orina.
Como la bilirrubina conjugada se excreta a través de la orina, no así la bilirrubina no conjugada, sólo la hiperbilirrubinemia conjugada (p. ej., secundaria a ictericia hepatocelular o colestásica) causa bilirrubinuria.
Otras funciones hepáticas
El hígado es un órgano complejo involucrado en muchos procesos bioquímicos incluyendo la regulación del metabolismo de carbohidratos, lípidos y proteínas (que abarca el almacenamiento de glucosa y glucógeno); el control del metabolismo del colesterol; y la formación de proteínas clave como albúmina, factores de coagulación, enzimas y complemento. El hígado también funciona como un filtro y tiene un papel clave en la purificación y la eliminación de productos de desecho y toxinas (medicamentos, sustancias extrañas) del torrente sanguíneo. La desregulación de las funciones hepáticas normales puede manifestarse en resultados clínicos como trastornos hemorrágicos, mayor susceptibilidad a la infección, alteraciones en el azúcar en sangre, y complicaciones de la hipertensión portal como encefalopatía hepática por la mayor acumulación de productos de desecho como amoníaco.
Fisiopatología de los trastornos hepáticos
Los trastornos hepáticos pueden producirse como consecuencia de diversas noxas, como por ejemplo infecciones, medicamentos, sustancias ilícitas, toxinas, isquemia y trastornos autoinmunitarios. En ocasiones, la disfunción hepática puede ocurrir en el posoperatorio. La mayor parte de las hepatopatías causan cierto grado de lesión y necrosis hepatocelular, que da lugar a diversas alteraciones en las pruebas de laboratorio y, a veces, síntomas. Los síntomas podrían ser el resultado de la hepatopatía propiamente dicha (p. ej., ictericia secundaria a hepatitis aguda) o complicaciones de la hepatopatía (p. ej., hemorragia digestiva aguda causada por cirrosis e hipertensión portal).
Enfermedades específicas afectan de manera preferencial ciertas estructuras o funciones hepatobiliares:
Hepatitis viral aguda: daño a los hepatocitos o lesión hepatocelular
Colangitis biliar primaria: deterioro de la secreción biliar (colestasis);
Cirrosis: fibrosis hepática e hipertensión venosa portal resultante
La región del sistema hepatobiliar afectada determina los síntomas, los signos y las anomalías en las pruebas de laboratorio (véase Pruebas para trastornos hepáticos y biliares). Algunas enfermedades (p. ej., hepatopatía alcohólica grave) afectan múltiples estructuras hepáticas, lo que produce una combinación de patrones de síntomas, signos y alteraciones de las pruebas de laboratorio.
Después de la necrosis, el hígado puede regenerarse a sí mismo. Incluso la necrosis extensa podría recuperarse por completo (p. ej., en la hepatitis viral aguda). No obstante, las lesiones que se extienden a través de todo el lóbulo o menos pronunciadas pero persistentes pueden ocasionar regeneración incompleta y fibrosis.
El pronóstico de las complicaciones graves es peor en los adultos mayores, que son menos capaces de recuperarse del estrés fisiológico intenso y de tolerar la acumulación de productos tóxicos.




