Verrugas orales
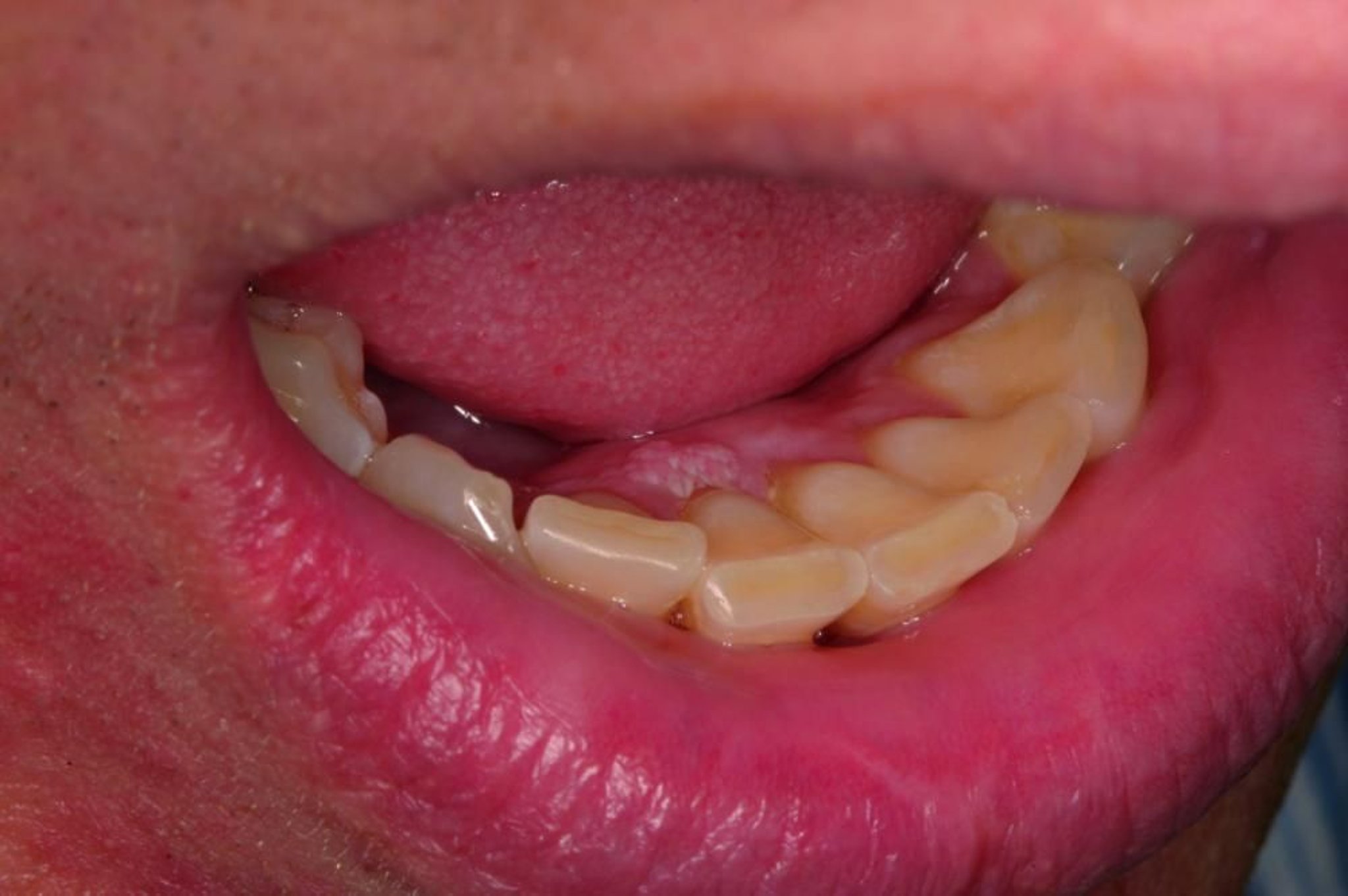
Verruga vulgar en la encía lingual anterior. La lesión es más blanca que el tejido circundante, con proyecciones piliformes prominentes.
© Springer Science+Business Media
En estos temas
Verruga vulgar en la encía lingual anterior. La lesión es más blanca que el tejido circundante, con proyecciones piliformes prominentes.
© Springer Science+Business Media