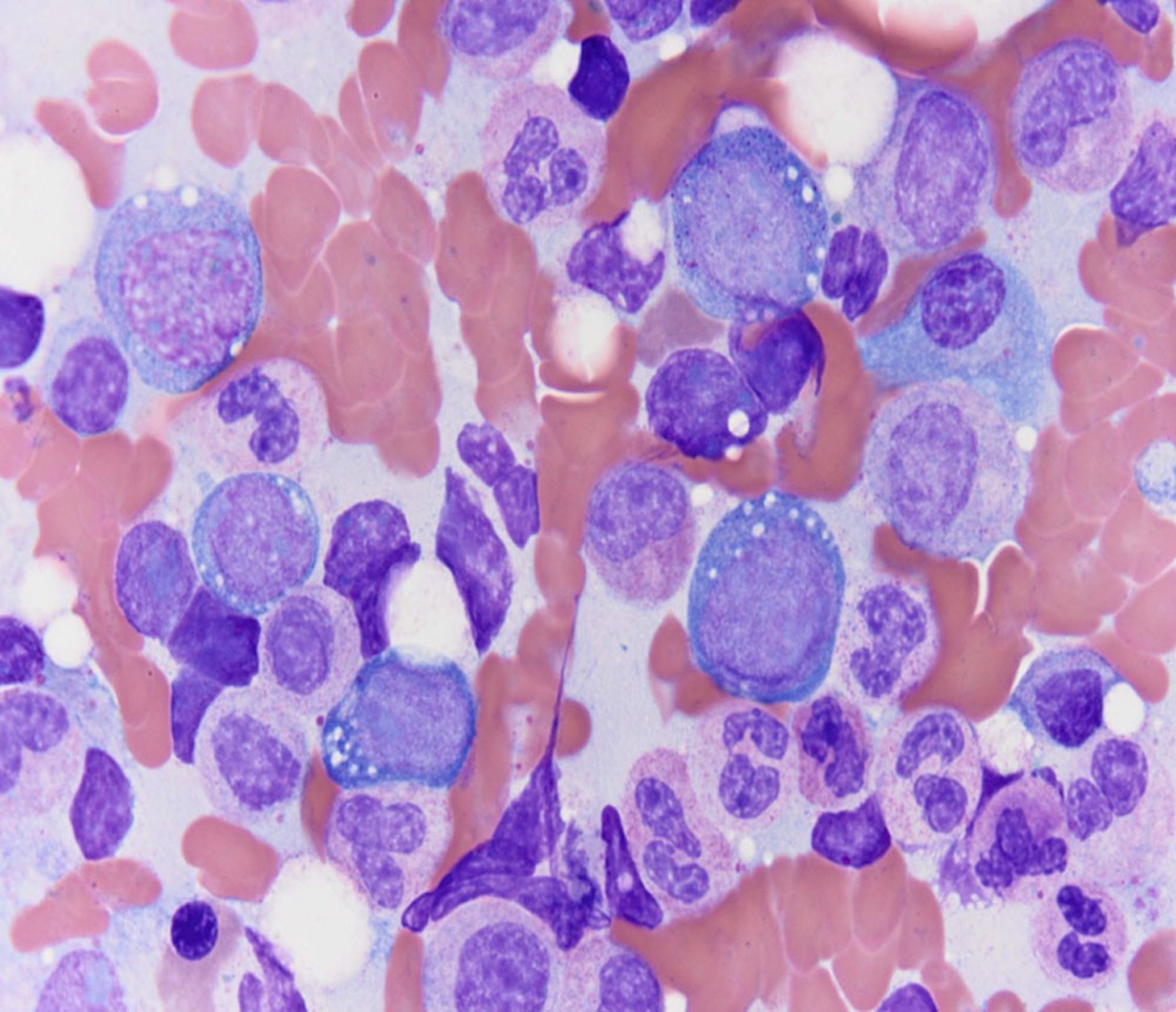
Vacuolas en el síndrome VEXAS
Esta imagen muestra la médula ósea hipercelular con vacuolización atípica en un paciente con síndrome VEXAS (vacuolas, enzima E1, ligada al cromosoma X, autoinflamatorio, somático).
Image courtesy of Kinanah Yaseen, MD.
En estos temas
