Tomografía computarizada sin contraste de abdomen y pelvis que muestra anatomía normal (imagen 14)

Tomografía computarizada sin contraste de abdomen y pelvis que muestra anatomía normal (imagen 14)

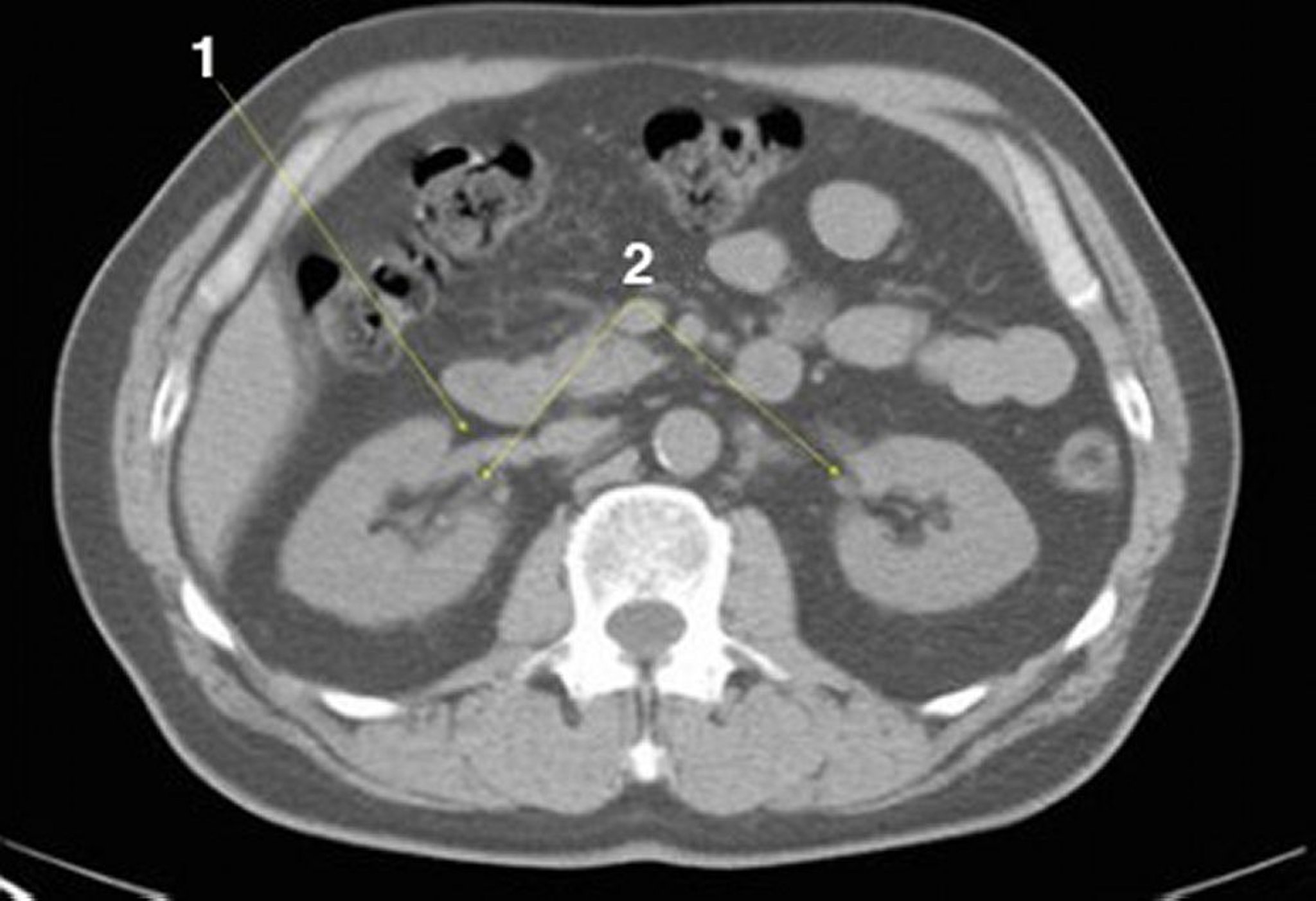
1 = vena renal derecha; 2 = hilios renales.

© Springer Science+Business Media