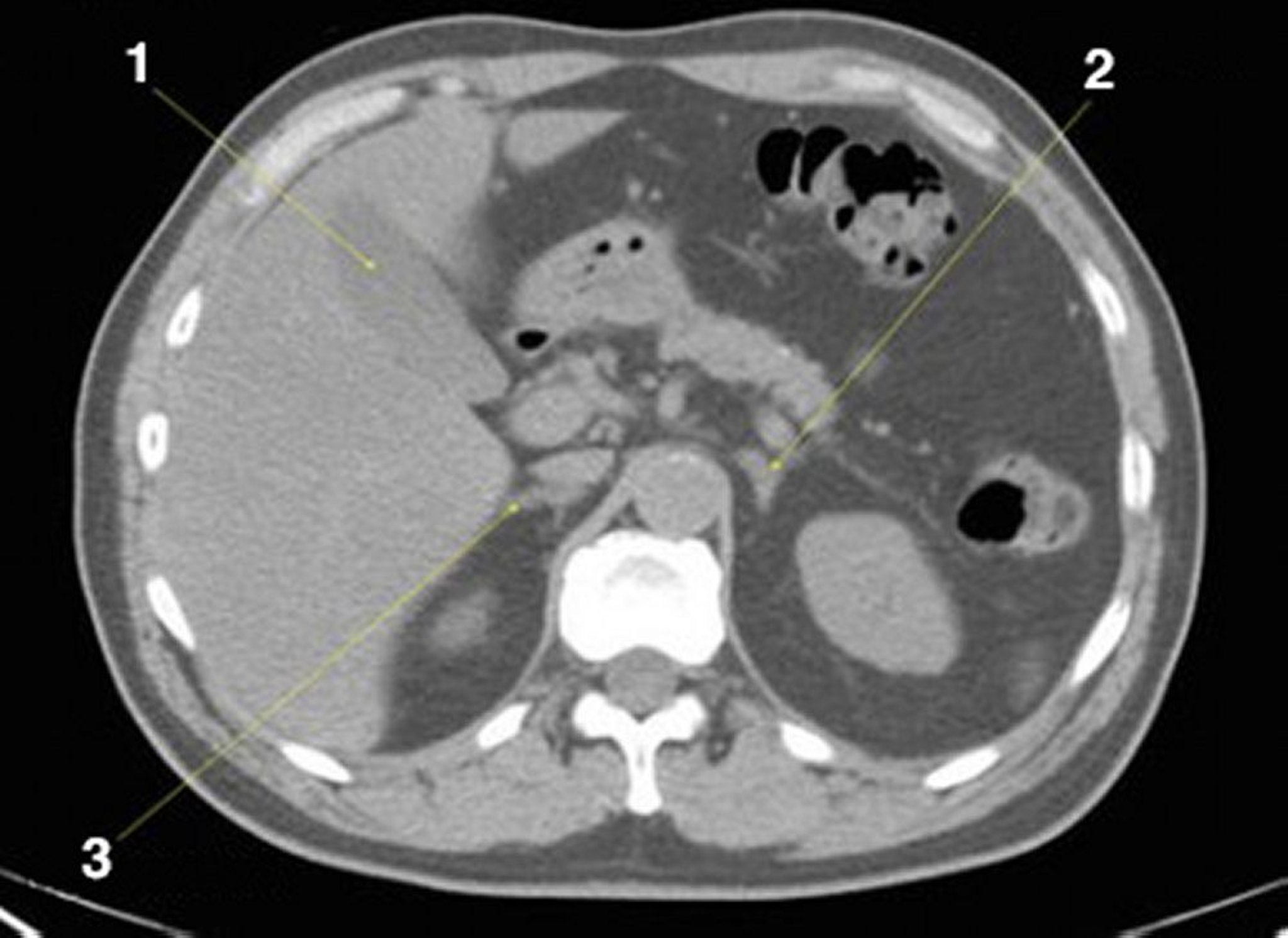
Tomografía computarizada sin contraste de abdomen y pelvis que muestra anatomía normal (corte 8)
1 = vesícula biliar; 2 = glándula suprarrenal izquierda; 3 = glándula suprarrenal derecha.
© Springer Science+Business Media
En estos temas
1 = vesícula biliar; 2 = glándula suprarrenal izquierda; 3 = glándula suprarrenal derecha.
© Springer Science+Business Media