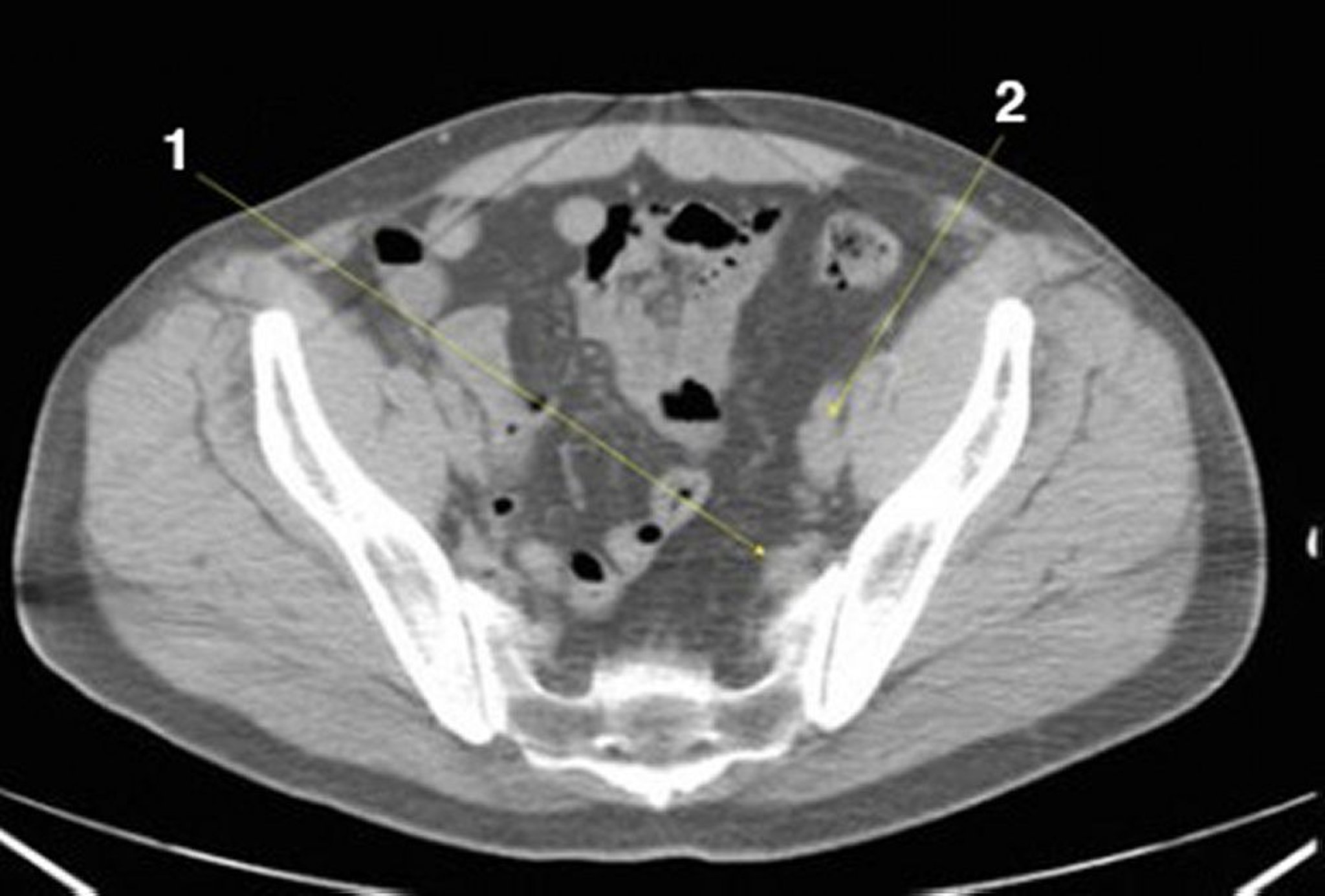
Tomografía computarizada sin contraste de abdomen y pelvis que muestra anatomía normal (corte 24)
1 = vasos ilíacos internos; 2 = vasos ilíacos externos.
© Springer Science+Business Media
En estos temas
1 = vasos ilíacos internos; 2 = vasos ilíacos externos.
© Springer Science+Business Media