honeypot link
skip to main content
Professional
Público general
Manual Msd
Versión para profesionales
TEMAS MÉDICOS
RECURSOS
COMENTARIO
PROCEDIMIENTOS Y EXÁMENES
CUESTIONARIOS
ACERCA DE
TEMAS MÉDICOS
RECURSOS
<
Imágenes
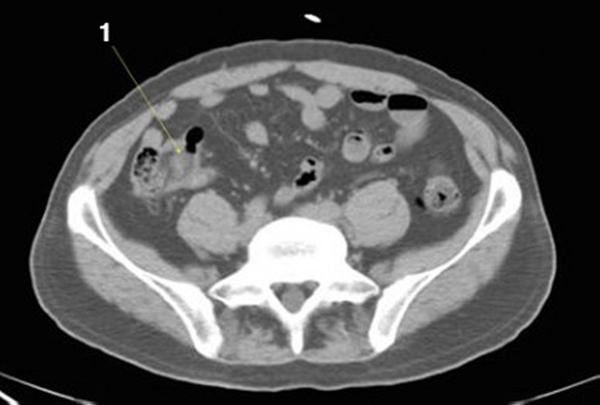
Tomografía computarizada sin contraste de abdomen y pelvis que muestra anatomía normal (corte 21)
1 = íleon.
© Springer Science+Business Media
En estos temas
Evaluación del paciente con trastornos digestivos
>