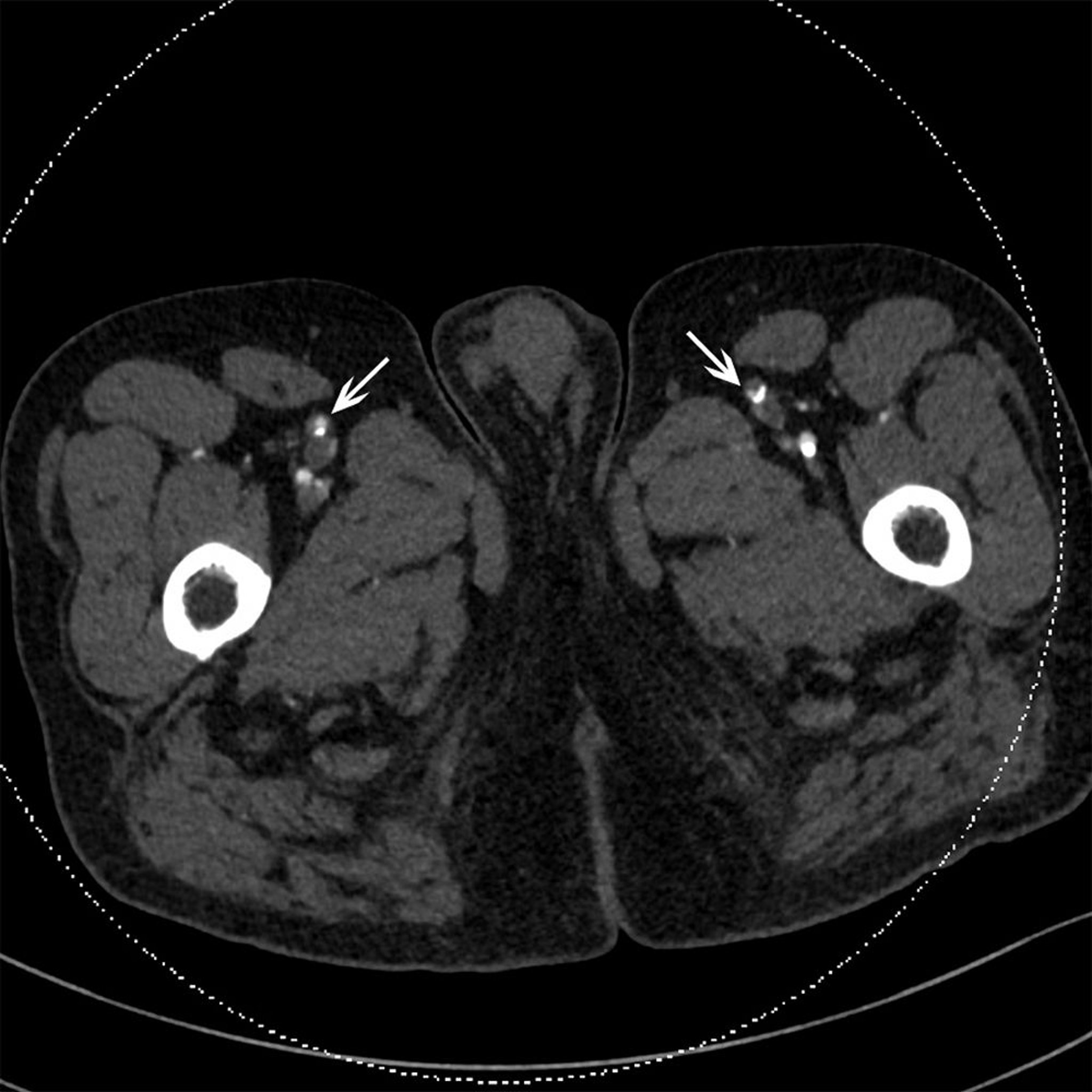
Tomografía computarizada de un paciente con oclusión de las arterias femorales superficiales
Esta TC muestra una placa calcificada bilateral en las arterias femorales superficiales (flechas).
© 2017 Elliot K. Fishman, MD.
En estos temas
Esta TC muestra una placa calcificada bilateral en las arterias femorales superficiales (flechas).
© 2017 Elliot K. Fishman, MD.