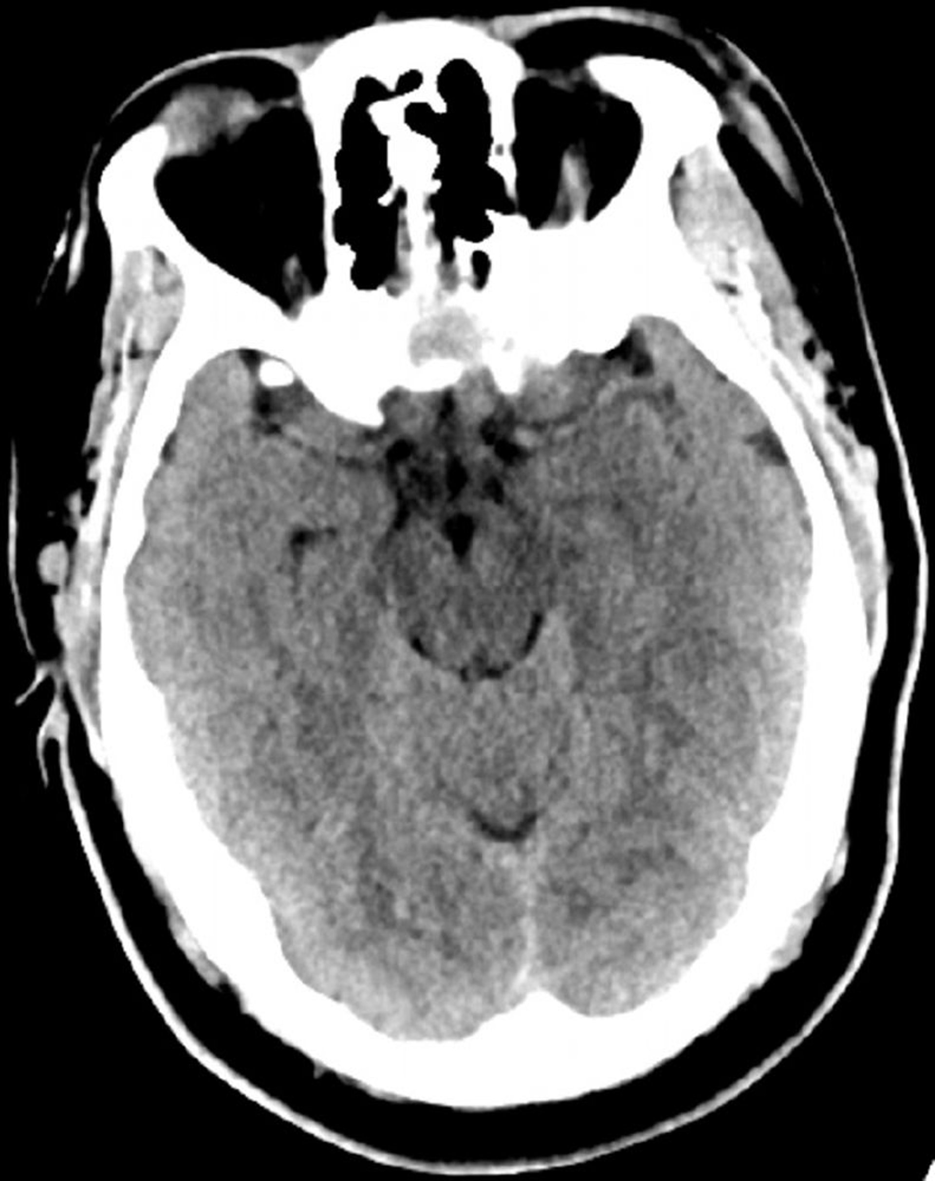
Tomografía computarizada craneal normal (adulto, 30 años)–diapositiva 6
Esta imagen es una tomografía computarizada craneal normal correspondiente a un adulto joven de 30 años de edad. No hay hemorragia o líquido intra- o extra axial. Se conserva la diferenciación gris-blanco. El tamaño ventricular y el patrón sulcal son normales.
© 2017 Elliot K. Fishman, MD.
En estos temas
