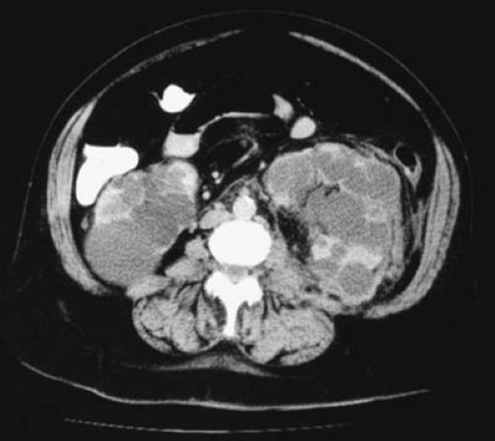
TC de vista axial de los riñones poliquísticos
Esta TC de los riñones muestra numerosos quistes de tamaño variable. Queda poco parénquima renal.
© Springer Science+Business Media
Esta TC de los riñones muestra numerosos quistes de tamaño variable. Queda poco parénquima renal.
© Springer Science+Business Media