Sarcoidosis (granuloma del iris)
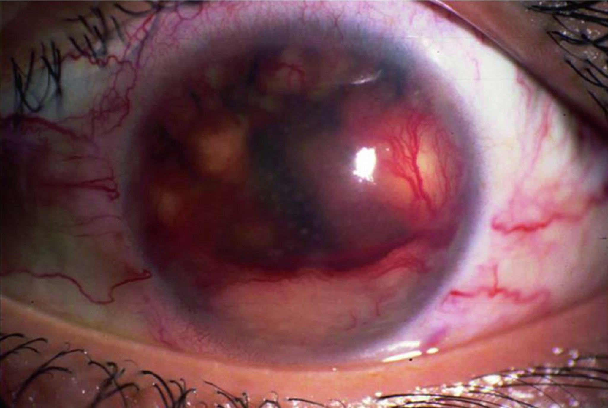
Esta fotografia muestra granulomas del iris (visible como manchas blancas), que también se denominan nódulos del margen papilar o nódulos de Koeppe.
© Springer Science+Business Media
En estos temas
Esta fotografia muestra granulomas del iris (visible como manchas blancas), que también se denominan nódulos del margen papilar o nódulos de Koeppe.
© Springer Science+Business Media