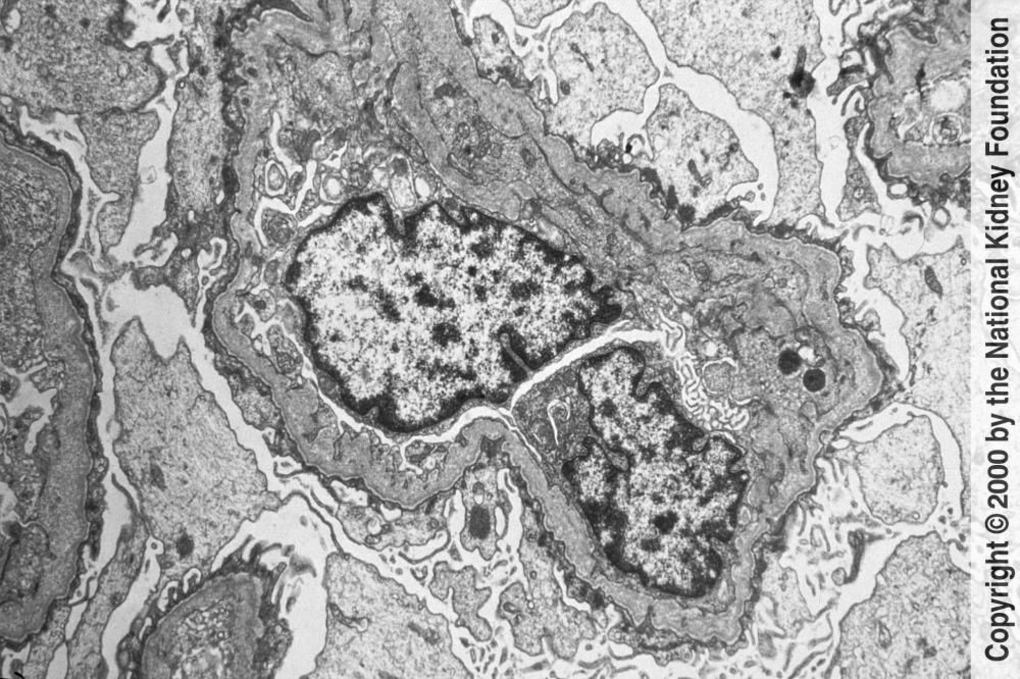
Síndrome de Alport (nefritis hereditaria)
Las membranas basales glomerulares muestran adelgazamientos y engrosamientos irregulares con un aspecto laminado en cesta de mimbre bajo microscopia electrónica de transmisión. Los cambios son causados por la lesión y el remodelado (×6000).
Image provided by Agnes Fogo, MD, and the American Journal of Kidney Diseases' Atlas of Renal Pathology (véase www.ajkd.org).
En estos temas
