honeypot link
skip to main content
  • siga con nosotros
MSDManual MsdVersión para profesionales
TEMAS MÉDICOSRECURSOSCOMENTARIOPROCEDIMIENTOS Y EXÁMENESCUESTIONARIOSACERCA DE
homeTEMAS MÉDICOSRECURSOS
Search icon
  1. <Imágenes
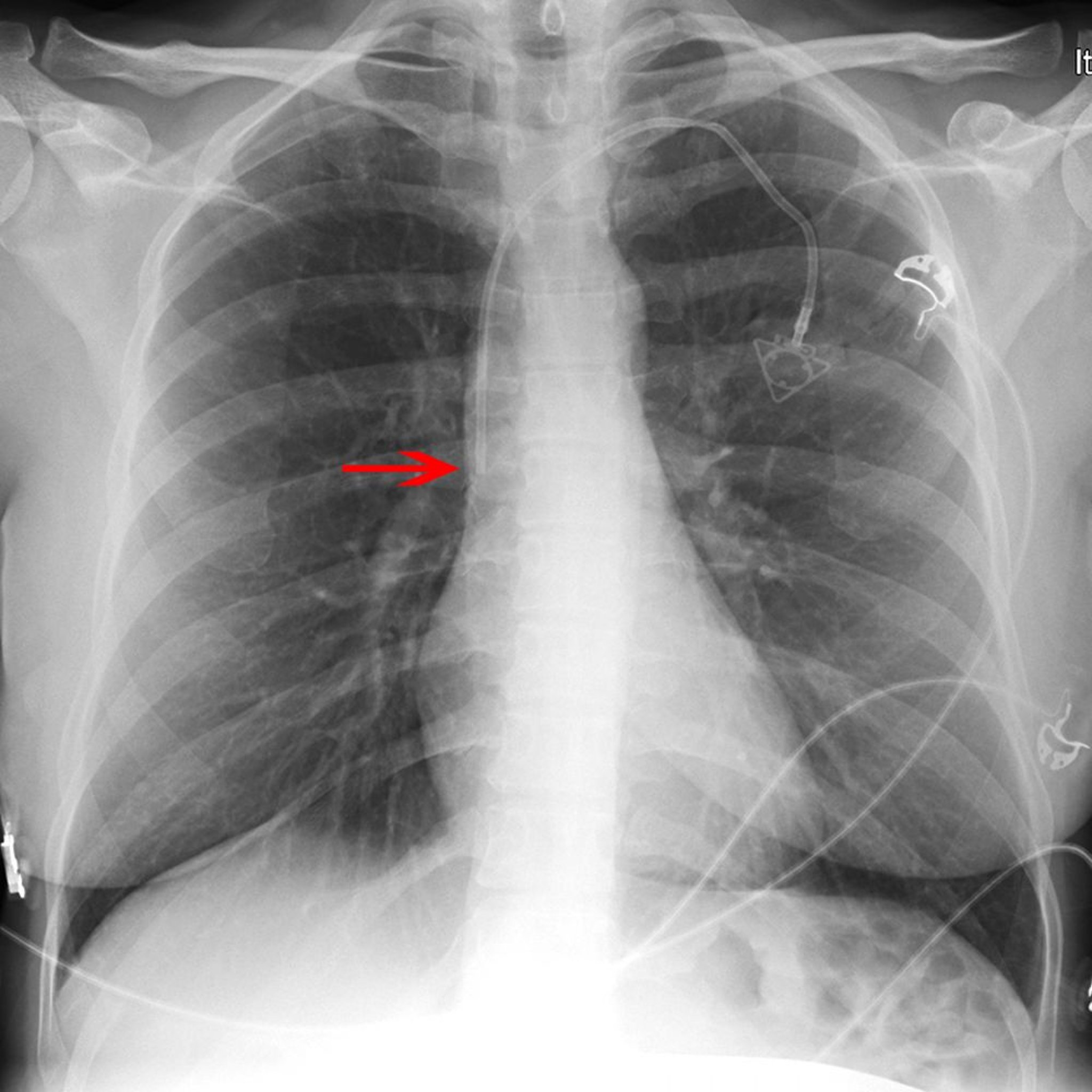
    Radiografía de un catéter venoso central

    Radiografía de un catéter venoso central

    La flecha roja señala la punta de un catéter en la vena subclavia izquierda (colocado apropiadamente en la porción inferior de la vena cava superior).

    © 2017 Elliot K. Fishman, MD.

    En estos temas
    • Acceso vascular >
    • Cómo hacer la canulación de la vena subclavia infraclavicular >
    • Cómo hacer una canulación de la vena subclavia infraclavicular, bajo guía ecográfica >
    • Cómo hacer una canulación de la vena yugular interna >
    • Cómo hacer una canulación de la vena yugular interna, bajo guía ecográfica >
    MSD
    • Acerca de
    • Descargo de responsabilidad
    • Permisos
    • Aviso de privacidad
    • Cookie Preferences
    • Términos y condiciones de uso
    • Licencias & Comerciales
    • Comuníquese con nosotros
    • Manual de veterinaria (inglés solamente)
    • siga con nosotros
    This icon serves as a link to download the eSSENTIAL Accessibility assistive technology app for individuals with physical disabilities. It is featured as part of our commitment to diversity and inclusion.
    • siga con nosotros
    This icon serves as a link to download the eSSENTIAL Accessibility assistive technology app for individuals with physical disabilities. It is featured as part of our commitment to diversity and inclusion.
    MSD

    Copyright© 2026Merck & Co., Inc., Rahway, NJ, USA y sus empresas asociadas. Todos los derechos reservados.