Quiste óseo unicameral
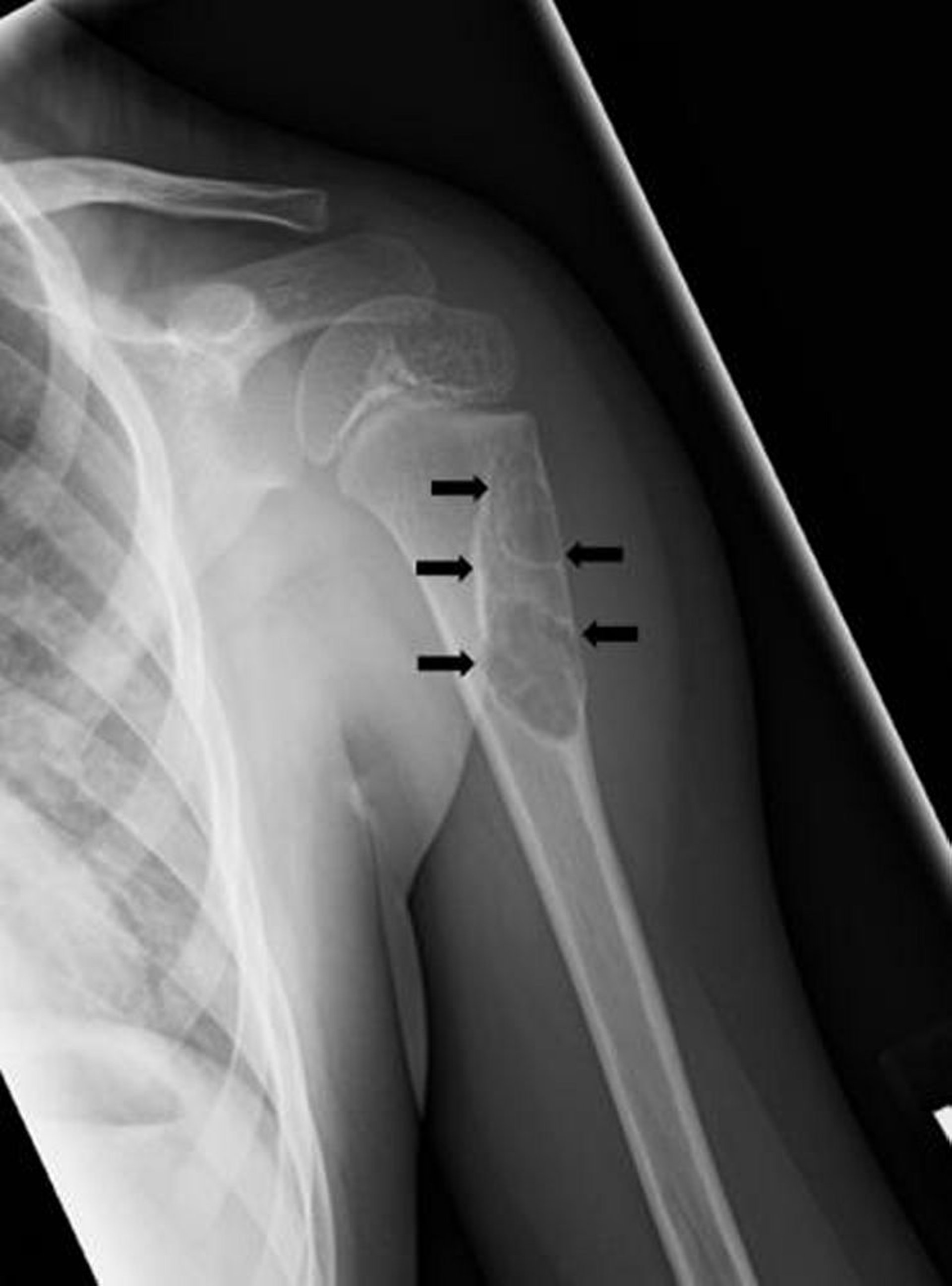
Esta radiografía muestra una lesión quística (flechas) en el húmero de un niño, compatible con un quiste óseo unicameral.
Image courtesy of Michael J. Joyce, MD, and Hakan Ilaslan, MD.
En estos temas
Esta radiografía muestra una lesión quística (flechas) en el húmero de un niño, compatible con un quiste óseo unicameral.
Image courtesy of Michael J. Joyce, MD, and Hakan Ilaslan, MD.