Neurocisticercosis
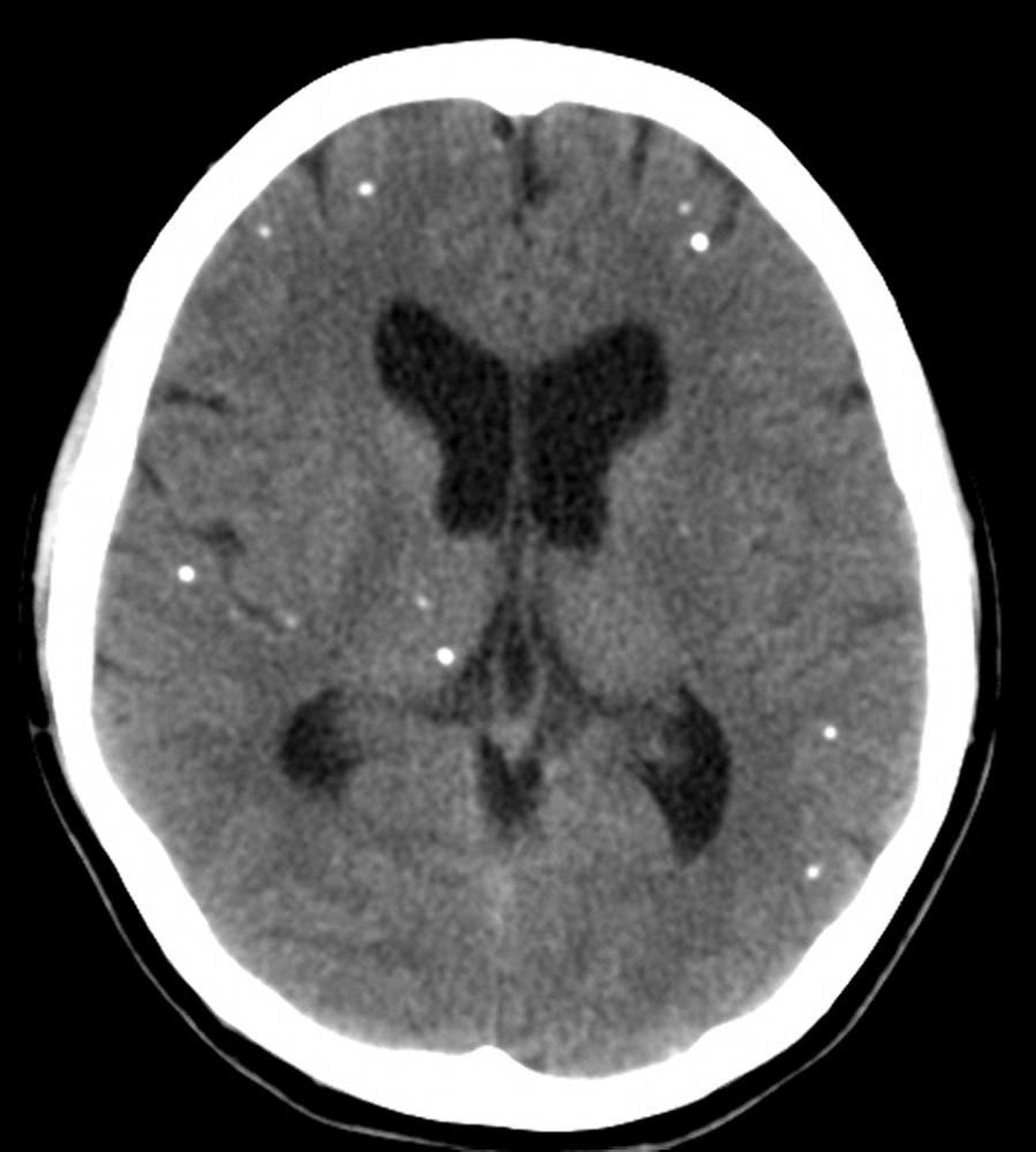
Esta TC muestra áreas multifocales de calcificación que representan quistes calcificados en un paciente con neurocisticercosis.
Courtesy of John E. Greenlee, MD.
En estos temas
Esta TC muestra áreas multifocales de calcificación que representan quistes calcificados en un paciente con neurocisticercosis.
Courtesy of John E. Greenlee, MD.