Neumotórax a tensión
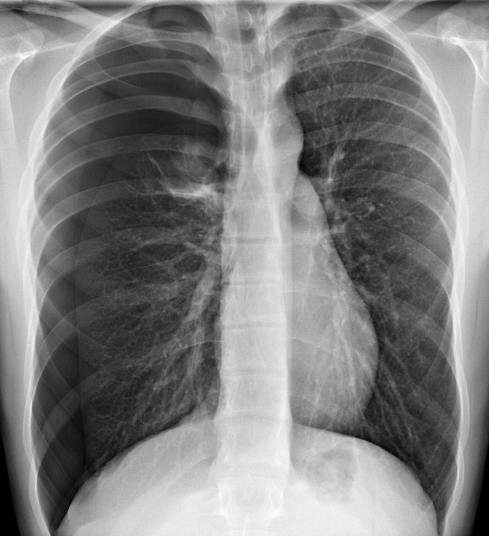
En esta imagen, se ve un neumotórax en el hemitórax derecho, donde, en la periferia, no hay trama pulmonar. Un desplazamiento del corazón y el mediastino hacia el lado izquierdo puede causar fisiología del neumotórax a tensión. Sin embargo, el neumotórax a tensión debe diagnosticarse clínicamente y no esperar la confirmación radiológica.
DU CANE MEDICAL IMAGING LTD/SCIENCE PHOTO LIBRARY
En estos temas
