Neumonitis crónica por hipersensibilidad
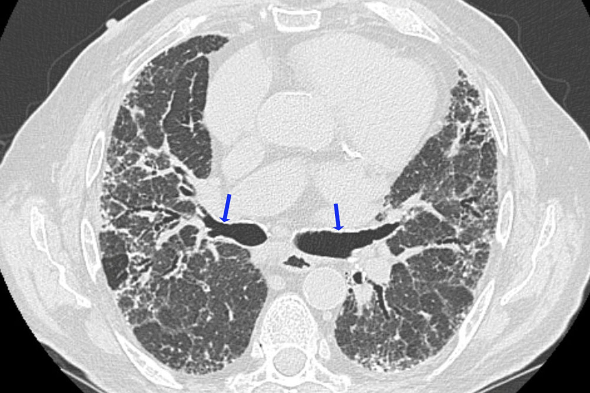
Esta TC de alta resolución muestra hallazgos de fibrosis, incluyendo reticulación irregular y bronquiectasias por tracción (flechas). Las áreas pulmonares hipodensas son compatibles con regiones de obstrucción de la vía aérea. Esta combinación de hallazgos sugiere neumonitis por hipersensibilidad.
Image courtesy of Joyce Lee, MD, MAS.
En estos temas
