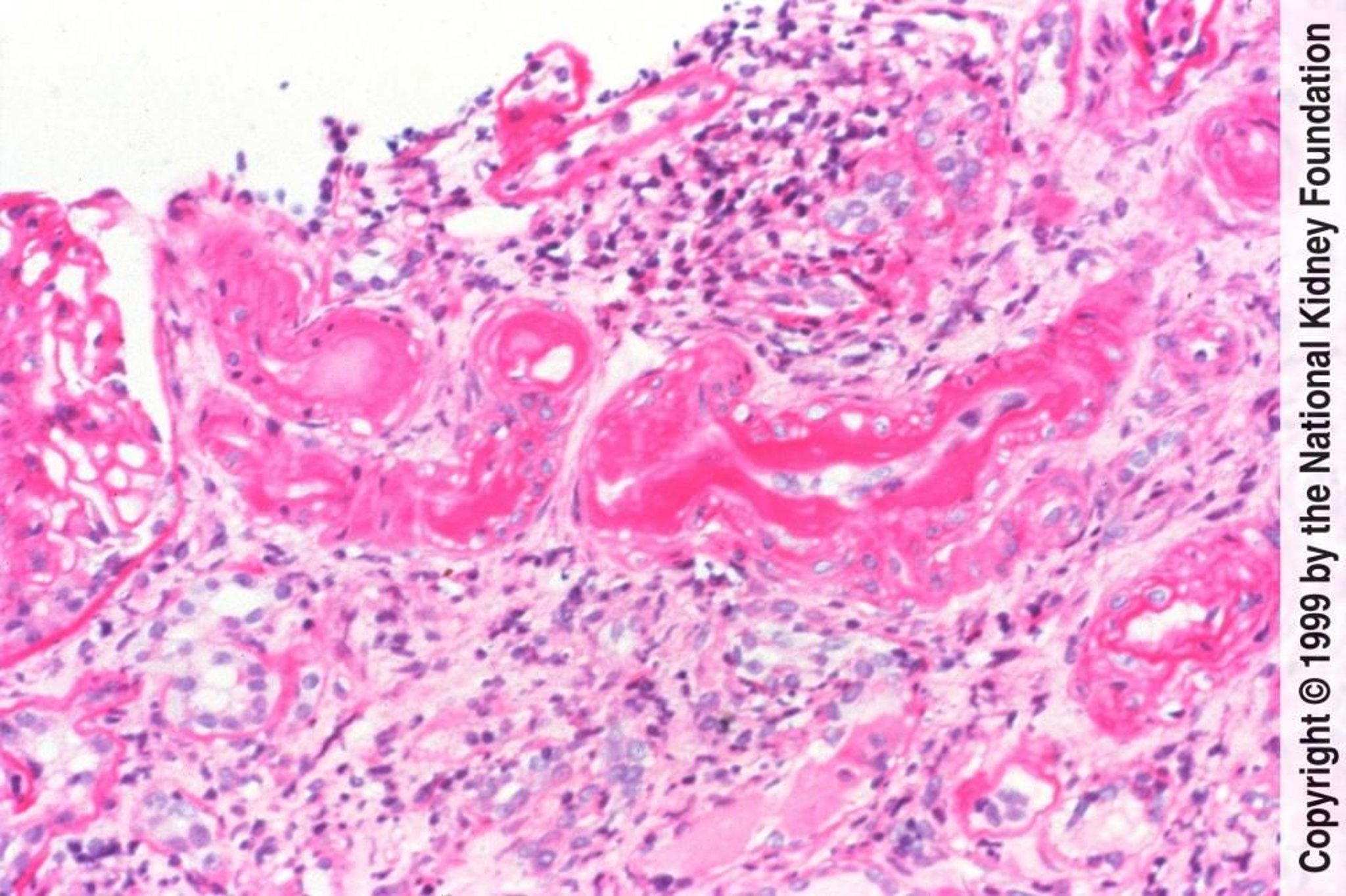
Nefroesclerosis arteriolar hipertensiva benigna
La nefroesclerosis arteriolar hipertensiva benigna se caracteriza histológicamente por hialinosis arteriolar causada por insudación de proteínas plasmáticas y engrosamiento medial causado por hipertrofia e hiperplasia de las células del músculo liso vascular (tinción de ácido peryódico de Schiff, × 200).
Image provided by Agnes Fogo, MD, and the American Journal of Kidney Diseases' Atlas of Renal Pathology (véase www.ajkd.org).
En estos temas
