Miocardiopatía hipertrófica (variante apical)
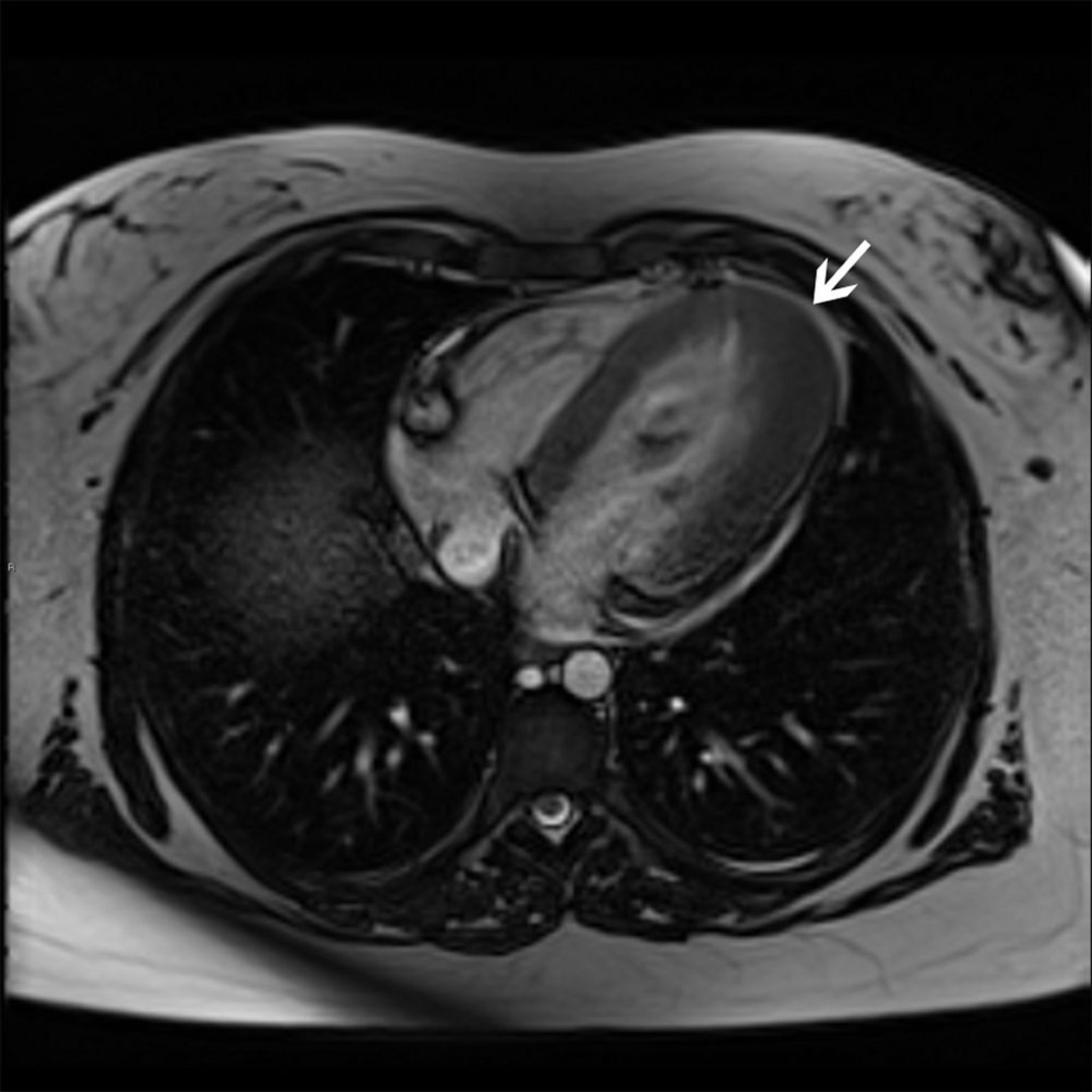
Esta resonancia magnética cardíaca muestra una variante de hipertrofia apical (flecha) de miocardiopatía hipertrófica.
© 2017 Elliot K. Fishman, MD.
En estos temas
Esta resonancia magnética cardíaca muestra una variante de hipertrofia apical (flecha) de miocardiopatía hipertrófica.
© 2017 Elliot K. Fishman, MD.