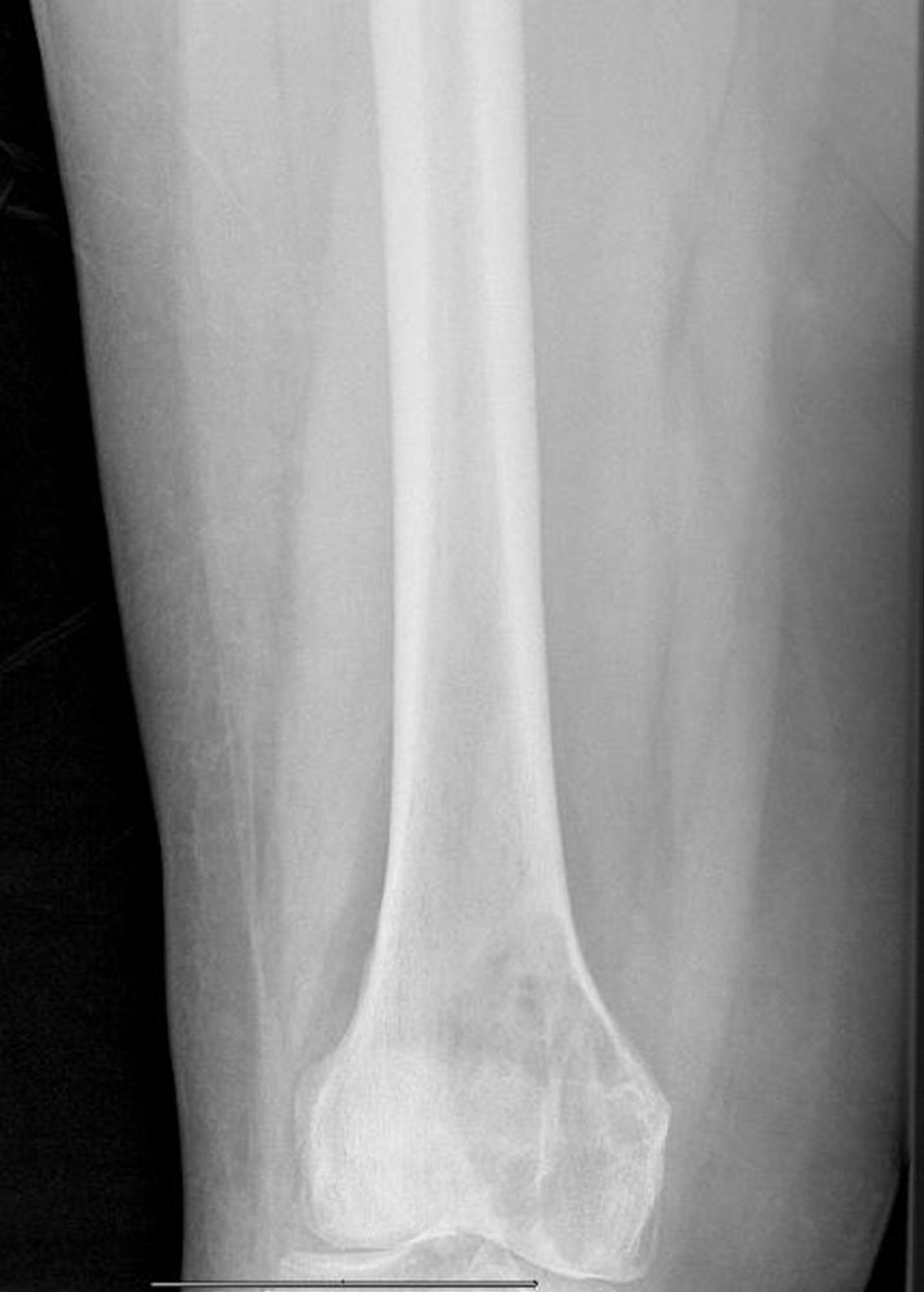
Metástasis líticas en el fémur distal
Esta radiografía muestra una gran lesión lítica metastásica del cóndilo medial del fémur con fractura patológica inminente.
Image courtesy of Michael J. Joyce, MD, and David M. Joyce, MD.
En estos temas
Esta radiografía muestra una gran lesión lítica metastásica del cóndilo medial del fémur con fractura patológica inminente.
Image courtesy of Michael J. Joyce, MD, and David M. Joyce, MD.