Mediastino dilatado
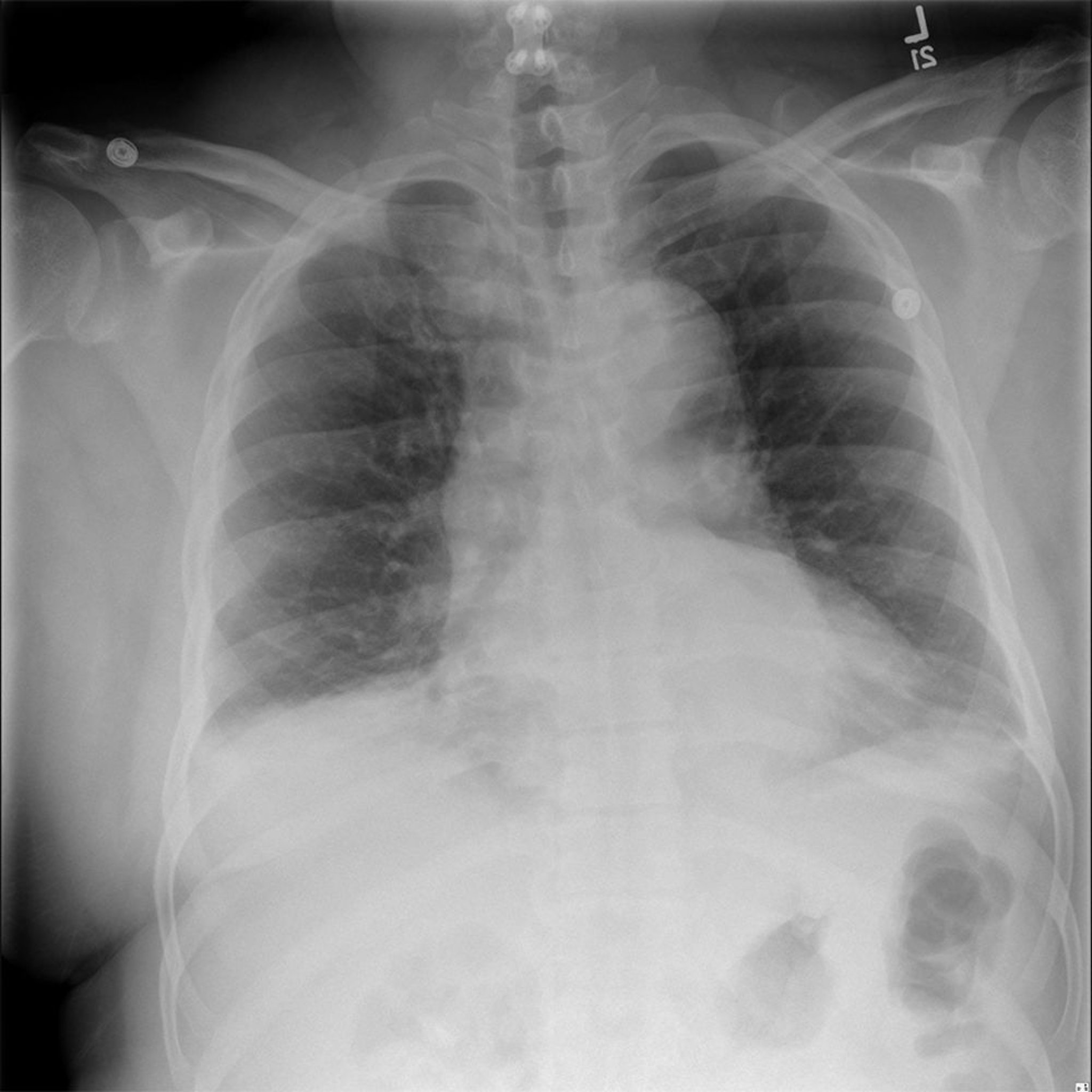
Esta radiografía muestra el mediastino dilatado de un paciente con aneurisma de aorta torácica diagnosticado.
© 2017 Elliot K. Fishman, MD.
En estos temas
Esta radiografía muestra el mediastino dilatado de un paciente con aneurisma de aorta torácica diagnosticado.
© 2017 Elliot K. Fishman, MD.