Leucoencefalopatía multifocal progresiva
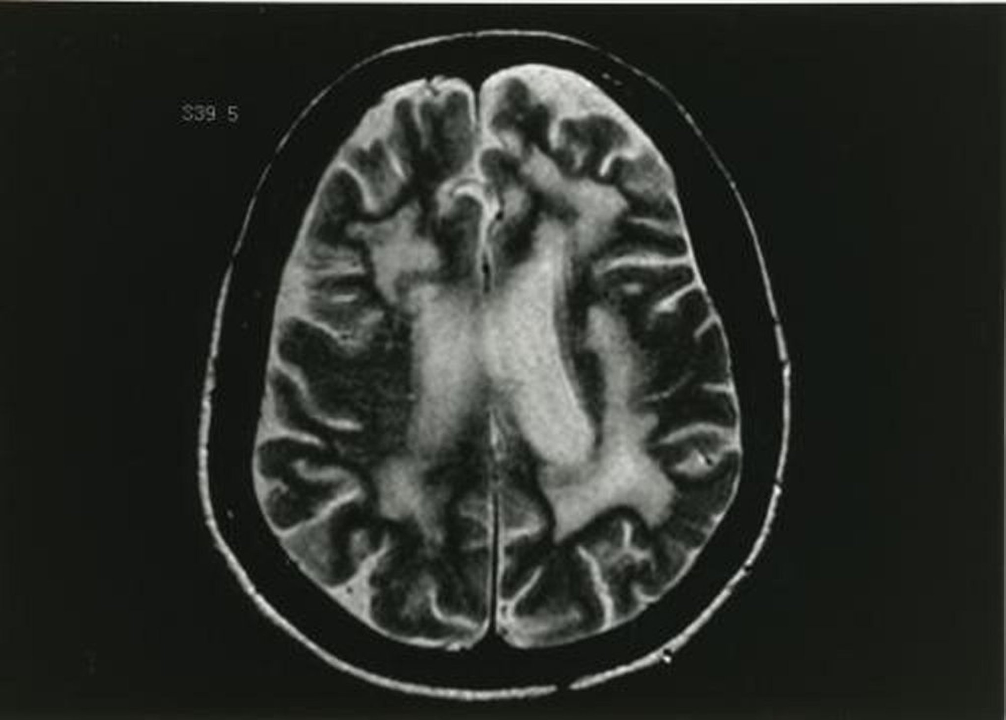
Esta imagen de RM ponderada en T2 muestra múltiples cambios en la sustancia blanca.
Imagen proporcionada por John E. Greenlee, MD.
En estos temas
Esta imagen de RM ponderada en T2 muestra múltiples cambios en la sustancia blanca.
Imagen proporcionada por John E. Greenlee, MD.