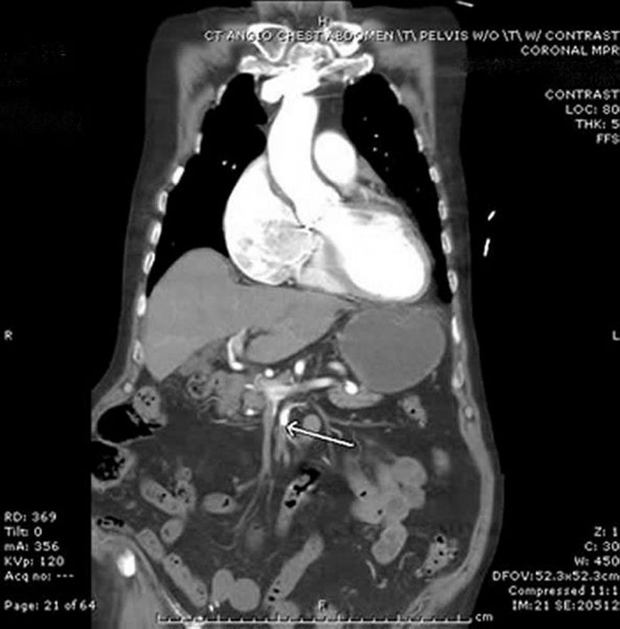
Isquemia mesentérica (angiografía por TC)
En esta imagen, la flecha señala la arteria mesentérica superior, que muestra una interrupción brusca del contraste intravenoso. Se observa algo de engrosamiento del intestino delgado en el hemiabdomen izquierdo. Este caso de embolia proviene del corazón en un paciente con fibrilación auricular.
Image provided by Parswa Ansari, MD.
En estos temas
