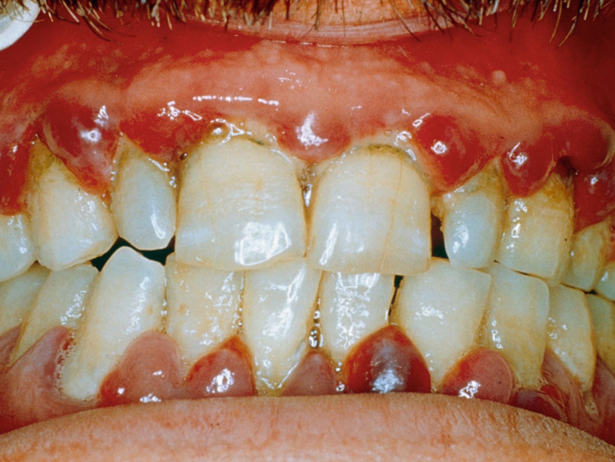
Inflamación de las encías en el escorbuto
Esta foto muestra una encía edematosa de color púrpura en un paciente con escorbuto.
BIOPHOTO ASSOCIATES/SCIENCE PHOTO LIBRARY
En estos temas
Esta foto muestra una encía edematosa de color púrpura en un paciente con escorbuto.
BIOPHOTO ASSOCIATES/SCIENCE PHOTO LIBRARY