Histiocitosis de células de Langerhans (TC craneal)
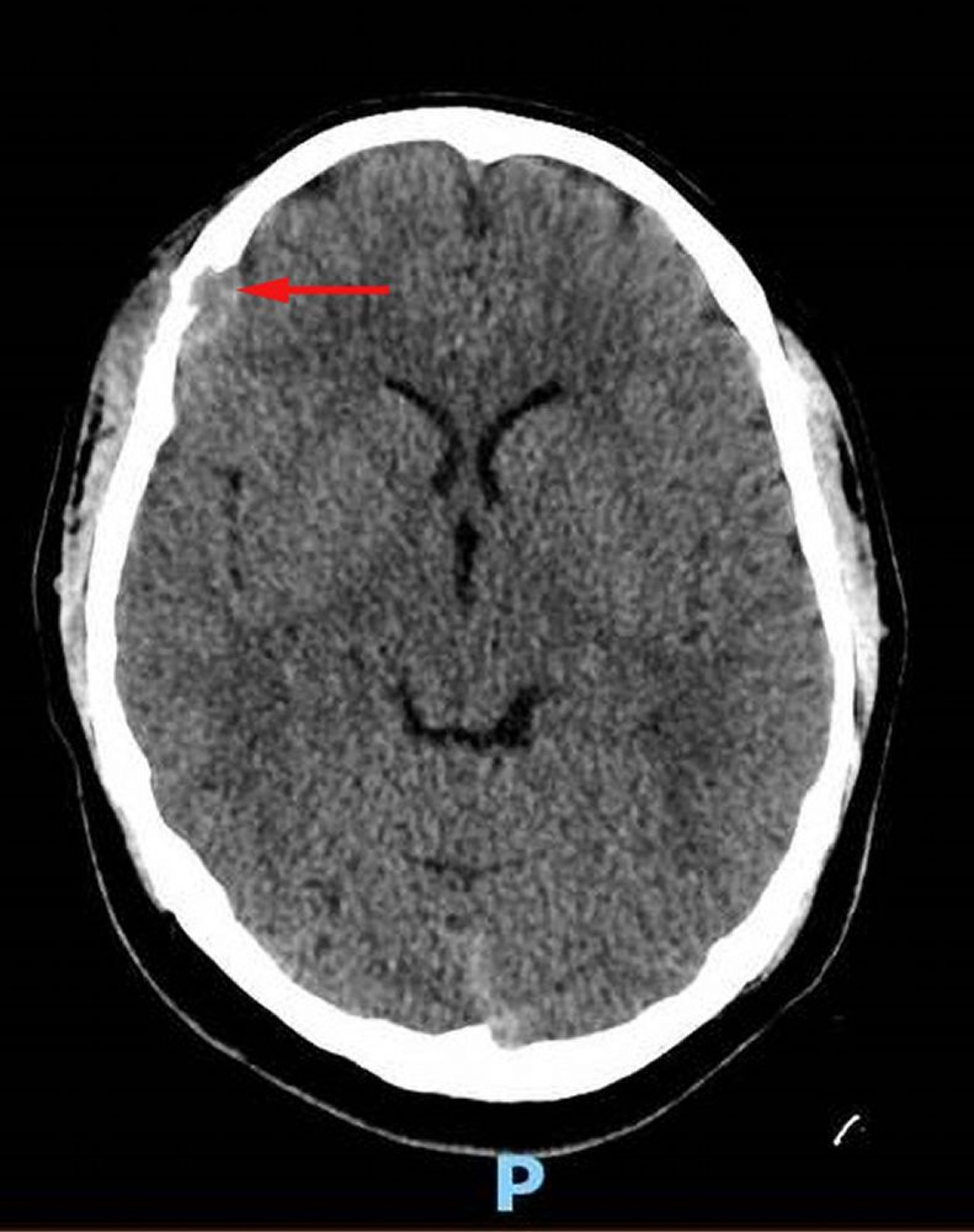
Esta imagen muestra una lesión del tejido blando en el hueso frontal derecho con destrucción ósea asociada y extensión intracraneal de tejido blando en el espacio dural (flecha roja). Se observa tejido blando asimétrico sobre el cuero cabelludo. La biopsia fue diagnóstica para histiocitosis de células de Langerhans.
Image courtesy of Carolyn Fein Levy, MD, and Jeffrey M. Lipton, MD, PhD.
En estos temas
